PMPCB antibody

Cat. No. GTX64915
Cat. No.  GTX64915
Anti-PMPCB antibody used in IHC (Paraffin sections) (IHC-P). GTX64915
GTX64915 IHC-P Image

IHC-P analysis of human colon carcinoma tissue using GTX64915 PMPCB antibody.
Dilution : 1:100

1 / 4
Anti-PMPCB antibody used in Western Blot (WB). GTX64915
GTX64915 WB Image

WB analysis of various sample lysates using GTX64915 PMPCB antibody.
Dilution : 1:1000
Loading : 25μg per lane

2 / 4
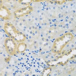
Anti-PMPCB antibody used in IHC (Paraffin sections) (IHC-P). GTX64915
GTX64915 IHC-P Image

IHC-P analysis of rat kidney tissue using GTX64915 PMPCB antibody.
Dilution : 1:100

3 / 4
Anti-PMPCB antibody used in IHC (Paraffin sections) (IHC-P). GTX64915
GTX64915 IHC-P Image

IHC-P analysis of human stomach tissue using GTX64915 PMPCB antibody.
Dilution : 1:100

4 / 4
Anti-PMPCB antibody used in IHC (Paraffin sections) (IHC-P). GTX64915
Anti-PMPCB antibody used in Western Blot (WB). GTX64915
Anti-PMPCB antibody used in IHC (Paraffin sections) (IHC-P). GTX64915
Anti-PMPCB antibody used in IHC (Paraffin sections) (IHC-P). GTX64915
  • Host
    Rabbit
  • Clonality
    Polyclonal
  • Isotype
    IgG
  • Applications
    WB IHC-P
  • Reactivity
    Human, Mouse, Rat
See all PMPCB products