PMS2/PMS2CL antibody

Cat. No. GTX87509
Cat. No.  GTX87509
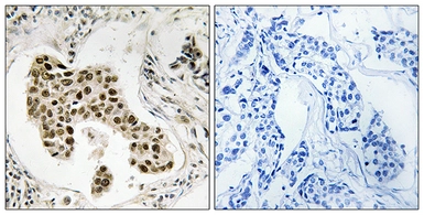
Anti-PMS2/PMS2CL antibody used in IHC (Paraffin sections) (IHC-P). GTX87509
GTX87509 IHC-P Image

IHC-P analysis of human breast carcinoma tissue using GTX87509 PMS2/PMS2CL antibody. The picture on the right is blocked with the synthesized peptide.

1 / 1
Anti-PMS2/PMS2CL antibody used in IHC (Paraffin sections) (IHC-P). GTX87509
  • Host
    Rabbit
  • Clonality
    Polyclonal
  • Isotype
    IgG
  • Applications
    IHC-P
  • Reactivity
    Human
See all PMS2/PMS2CL products