PNK antibody

Cat. No. GTX64651
Cat. No.  GTX64651
Anti-PNK antibody used in IHC (Paraffin sections) (IHC-P). GTX64651
GTX64651 IHC-P Image

IHC-P analysis of mouse heart tissue using GTX64651 PNK antibody.
Dilution : 1:100

1 / 5
Anti-PNK antibody used in Western Blot (WB). GTX64651
GTX64651 WB Image

WB analysis of various sample lysates using GTX64651 PNK antibody.
Dilution : 1:1000
Loading : 25μg per lane

2 / 5
Anti-PNK antibody used in IHC (Paraffin sections) (IHC-P). GTX64651
GTX64651 IHC-P Image

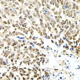
IHC-P analysis of human lung cancer tissue using GTX64651 PNK antibody.
Dilution : 1:100

3 / 5
Anti-PNK antibody used in IHC (Paraffin sections) (IHC-P). GTX64651
GTX64651 IHC-P Image

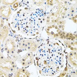
IHC-P analysis of rat kidney tissue using GTX64651 PNK antibody.
Dilution : 1:100

4 / 5
Anti-PNK antibody used in Immunocytochemistry/ Immunofluorescence (ICC/IF). GTX64651
GTX64651 ICC/IF Image

ICC/IF analysis of GFP-RNF168 transgenic U2OS cells using GTX64651 PNK antibody.
Green : GFP-RNF168 fusion protein expression for DNA damage marker
Blue : DAPI

5 / 5
Anti-PNK antibody used in IHC (Paraffin sections) (IHC-P). GTX64651
Anti-PNK antibody used in Western Blot (WB). GTX64651
Anti-PNK antibody used in IHC (Paraffin sections) (IHC-P). GTX64651
Anti-PNK antibody used in IHC (Paraffin sections) (IHC-P). GTX64651
Anti-PNK antibody used in Immunocytochemistry/ Immunofluorescence (ICC/IF). GTX64651
  • Host
    Rabbit
  • Clonality
    Polyclonal
  • Isotype
    IgG
  • Applications
    WB ICC/IF IHC-P
  • Reactivity
    Human, Mouse, Rat
See all PNK products