POLD3 antibody

Cat. No. GTX32795
Cat. No.  GTX32795
Anti-POLD3 antibody used in Immunocytochemistry/ Immunofluorescence (ICC/IF). GTX32795
GTX32795 ICC/IF Image

ICC/IF analysis of GFP-RNF168 transgenic U2OS cells using GTX32795 POLD3 antibody.
Green : GFP-RNF168 fusion protein expression for DNA damage marker
Blue : DAPI

1 / 4
Anti-POLD3 antibody used in Immunocytochemistry/ Immunofluorescence (ICC/IF). GTX32795
GTX32795 ICC/IF Image

ICC/IF analysis of U2OS cells using GTX32795 POLD3 antibody.

2 / 4
Anti-POLD3 antibody used in Western Blot (WB). GTX32795
GTX32795 WB Image

WB analysis of various sample lysates using GTX32795 POLD3 antibody. The signal was developed with ECL plus-Enhanced.
Dilution : 1:1000
Loading : 25μg per lane

3 / 4
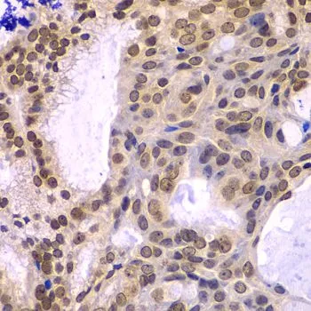
Anti-POLD3 antibody used in IHC (Paraffin sections) (IHC-P). GTX32795
GTX32795 IHC-P Image

IHC-P analysis of human oophoroma tissue using GTX32795 POLD3 antibody.
Dilution : 1:100

4 / 4
Anti-POLD3 antibody used in Immunocytochemistry/ Immunofluorescence (ICC/IF). GTX32795
Anti-POLD3 antibody used in Immunocytochemistry/ Immunofluorescence (ICC/IF). GTX32795
Anti-POLD3 antibody used in Western Blot (WB). GTX32795
Anti-POLD3 antibody used in IHC (Paraffin sections) (IHC-P). GTX32795
  • Host
    Rabbit
  • Clonality
    Polyclonal
  • Isotype
    IgG
  • Applications
    WB ICC/IF IHC-P
  • Reactivity
    Human, Mouse
See all POLD3 products