POLR2G antibody

Cat. No. GTX108874
Cat. No.  GTX108874
Anti-POLR2G antibody used in Western Blot (WB). GTX108874
GTX108874 WB Image

Sample (30 ug of whole cell lysate)
A: A431
12% SDS PAGE
GTX108874 diluted at 1:1000

1 / 3
Anti-POLR2G antibody used in IHC (Paraffin sections) (IHC-P). GTX108874
GTX108874 IHC-P Image

Immunohistochemical analysis of paraffin-embedded CL1-5 xenograft, using POLR2G(GTX108874) antibody at 1:500 dilution.
Antigen Retrieval: Citrate buffer, pH 6.0, 15 min

2 / 3
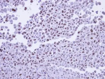
Anti-POLR2G antibody used in IHC (Paraffin sections) (IHC-P). GTX108874
GTX108874 IHC-P Image

POLR2G antibody detects POLR2G protein at nucleus in mouse brain by immunohistochemical analysis.
Sample: Paraffin-embedded mouse brain.
POLR2G antibody (GTX108874) diluted at 1:500.

Antigen Retrieval: Citrate buffer, pH 6.0, 15 min

3 / 3
Anti-POLR2G antibody used in Western Blot (WB). GTX108874
Anti-POLR2G antibody used in IHC (Paraffin sections) (IHC-P). GTX108874
Anti-POLR2G antibody used in IHC (Paraffin sections) (IHC-P). GTX108874
  • Host
    Rabbit
  • Clonality
    Polyclonal
  • Isotype
    IgG
  • Applications
    WB IHC-P IP
  • Reactivity
    Human, Mouse
See all POLR2G products