POLR2G antibody

Cat. No. GTX66486
Cat. No.  GTX66486
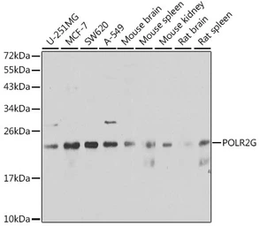
Anti-POLR2G antibody used in Western Blot (WB). GTX66486
GTX66486 WB Image

WB analysis of various sample lysates using GTX66486 POLR2G antibody.
Dilution : 1:1000
Loading : 25μg per lane

1 / 1
Anti-POLR2G antibody used in Western Blot (WB). GTX66486
  • Host
    Rabbit
  • Clonality
    Polyclonal
  • Isotype
    IgG
  • Applications
    WB
  • Reactivity
    Human, Mouse, Rat
See all POLR2G products