POLR3F antibody

Cat. No. GTX64831
Cat. No.  GTX64831
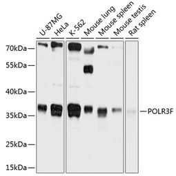
Anti-POLR3F antibody used in Western Blot (WB). GTX64831
GTX64831 WB Image

WB analysis of various sample lysates using GTX64831 POLR3F antibody.
Dilution : 1:1000
Loading : 25μg per lane

1 / 1
Anti-POLR3F antibody used in Western Blot (WB). GTX64831
  • Host
    Rabbit
  • Clonality
    Polyclonal
  • Isotype
    IgG
  • Applications
    WB
  • Reactivity
    Human, Mouse, Rat
See all POLR3F products