POMGNT1 antibody

Cat. No. GTX05196
Cat. No.  GTX05196
Anti-POMGNT1 antibody used in Western Blot (WB). GTX05196
GTX05196 WB Image

WB analysis of myeloma cell lysate using GTX05196 POMGNT1 antibody. The lane on the left was treated with blocking peptide.

1 / 3
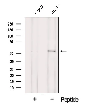
Anti-POMGNT1 antibody used in Western Blot (WB). GTX05196
GTX05196 WB Image

WB analysis of HepG2 whole cell lysate using GTX05196 POMGNT1 antibody. The lane on the left was treated with blocking peptide.

2 / 3
Anti-POMGNT1 antibody used in Immunocytochemistry/ Immunofluorescence (ICC/IF). GTX05196
GTX05196 ICC/IF Image

ICC/IF analysis of PFA-fixed HeLa cells using GTX05196 POMGNT1 antibody.
Red : Primary antibody
Green : beta tubulin
DAPI : Blue
Permeabilization : 0.1% Triton X-100
Dilution : 1:200

3 / 3
Anti-POMGNT1 antibody used in Western Blot (WB). GTX05196
Anti-POMGNT1 antibody used in Western Blot (WB). GTX05196
Anti-POMGNT1 antibody used in Immunocytochemistry/ Immunofluorescence (ICC/IF). GTX05196
  • Host
    Rabbit
  • Clonality
    Polyclonal
  • Isotype
    IgG
  • Applications
    WB ICC/IF
  • Reactivity
    Human
See all POMGNT1 products