POU6F1 antibody

Cat. No. GTX33420
Cat. No.  GTX33420
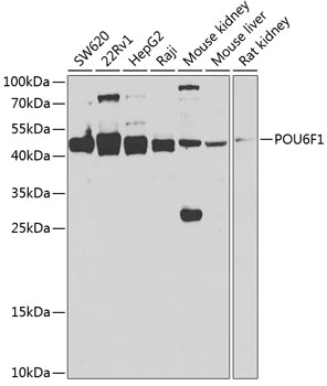
Anti-POU6F1 antibody used in Western Blot (WB). GTX33420
GTX33420 WB Image

WB analysis of various sample lysates using GTX33420 POU6F1 antibody. The signal was developed with ECL plus-Enhanced.
Dilution : 1:1000
Loading : 25μg per lane

1 / 2
Anti-POU6F1 antibody used in Immunocytochemistry/ Immunofluorescence (ICC/IF). GTX33420
GTX33420 ICC/IF Image

ICC/IF analysis of A549 cells using GTX33420 POU6F1 antibody.

2 / 2
Anti-POU6F1 antibody used in Western Blot (WB). GTX33420
Anti-POU6F1 antibody used in Immunocytochemistry/ Immunofluorescence (ICC/IF). GTX33420
  • Host
    Rabbit
  • Clonality
    Polyclonal
  • Isotype
    IgG
  • Applications
    WB ICC/IF
  • Reactivity
    Human, Mouse, Rat
See all POU6F1 products