PPIL1 antibody

Cat. No. GTX66307
Cat. No.  GTX66307
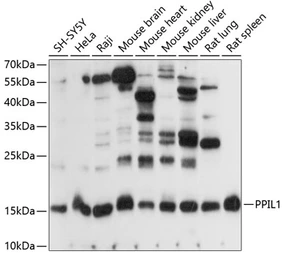
Anti-PPIL1 antibody used in Western Blot (WB). GTX66307
GTX66307 WB Image

WB analysis of various sample lysates using GTX66307 PPIL1 antibody.
Dilution : 1:1000
Loading : 25μg per lane

1 / 1
Anti-PPIL1 antibody used in Western Blot (WB). GTX66307
  • Host
    Rabbit
  • Clonality
    Polyclonal
  • Isotype
    IgG
  • Applications
    WB
  • Reactivity
    Human, Mouse, Rat
See all PPIL1 products