PRMT2 antibody

Cat. No. GTX23763
Cat. No.  GTX23763
Anti-PRMT2 antibody used in Western Blot (WB). GTX23763
GTX23763 WB Image

WB analysis of 293 cell lysate (2 ug/lane) either nontransfected (Lane 1) or transiently transfected with the PRMT2 (Lane 2) using GTX23763 PRMT2 antibody.

1 / 3
Anti-PRMT2 antibody used in Western Blot (WB). GTX23763
GTX23763 WB Image

WB analysis of HL-60 cell lysate using GTX23763 PRMT2 antibody.

2 / 3
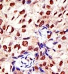
Anti-PRMT2 antibody used in IHC (Paraffin sections) (IHC-P). GTX23763
GTX23763 IHC-P Image

IHC-P analysis of human breast carcinoma using GTX23763 PRMT2 antibody.

3 / 3
Anti-PRMT2 antibody used in Western Blot (WB). GTX23763
Anti-PRMT2 antibody used in Western Blot (WB). GTX23763
Anti-PRMT2 antibody used in IHC (Paraffin sections) (IHC-P). GTX23763
  • Host
    Rabbit
  • Clonality
    Polyclonal
  • Isotype
    IgG
  • Applications
    WB IHC-P
  • Reactivity
    Human
See all PRMT2 products