PRMT7 antibody

Cat. No. GTX116570
Cat. No.  GTX116570
Anti-PRMT7 antibody used in Immunoprecipitation (IP). GTX116570
GTX116570 IP Image

PRMT7 antibody immunoprecipitates PRMT7 protein in IP experiments. IP Sample: HeLa whole cell lysate/extract A. 40 μg HeLa whole cell lysate/extract B. Control with 2 μg of preimmune rabbit IgG C. Immunoprecipitation of PRMT7 protein by 2 μg of PRMT7 antibody (GTX116570) 7.5% SDS-PAGE The immunoprecipitated PRMT7 protein was detected by PRMT7 antibody (GTX116570) diluted at 1:1000. EasyBlot anti-rabbit IgG (GTX221666-01) was used as a secondary reagent.

1 / 4
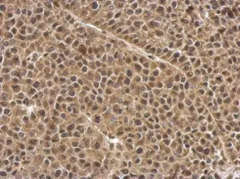
Anti-PRMT7 antibody used in IHC (Paraffin sections) (IHC-P). GTX116570
GTX116570 IHC-P Image

Immunohistochemical analysis of paraffin-embedded C2C12 xenograft, using PRMT7(GTX116570) antibody at 1:500 dilution.
Antigen Retrieval: Trilogy™ (EDTA based, pH 8.0) buffer, 15min

2 / 4
Anti-PRMT7 antibody used in Immunocytochemistry/ Immunofluorescence (ICC/IF). GTX116570
GTX116570 ICC/IF Image

PRMT7 antibody detects PRMT7 protein at cytoplasm and nucleus by immunofluorescent analysis.
Sample: HeLa cells were fixed in 4% paraformaldehyde at RT for 15 min.
Green: PRMT7 protein stained by PRMT7 antibody (GTX116570) diluted at 1:500.
Blue: Hoechst 33342 staining.

3 / 4
Anti-PRMT7 antibody used in ChIP assay (ChIP assay). GTX116570
GTX116570 ChIP assay Image

Cross-linked ChIP was performed with NIH3T3 chromatin extract and 5 μg of either control rabbit IgG or anti-PRMT7 antibody. The precipitated DNA was detected by PCR with primer set targeting to Apex2.

4 / 4
Anti-PRMT7 antibody used in Immunoprecipitation (IP). GTX116570
Anti-PRMT7 antibody used in IHC (Paraffin sections) (IHC-P). GTX116570
Anti-PRMT7 antibody used in Immunocytochemistry/ Immunofluorescence (ICC/IF). GTX116570
Anti-PRMT7 antibody used in ChIP assay (ChIP assay). GTX116570
  • Host
    Rabbit
  • Clonality
    Polyclonal
  • Isotype
    IgG
  • Applications
    ICC/IF IHC-P IP ChIP assay
  • Reactivity
    Human, Mouse
See all PRMT7 products