PSA antibody [C2C3], C-term

Cat. No. GTX100054
Cat. No.  GTX100054
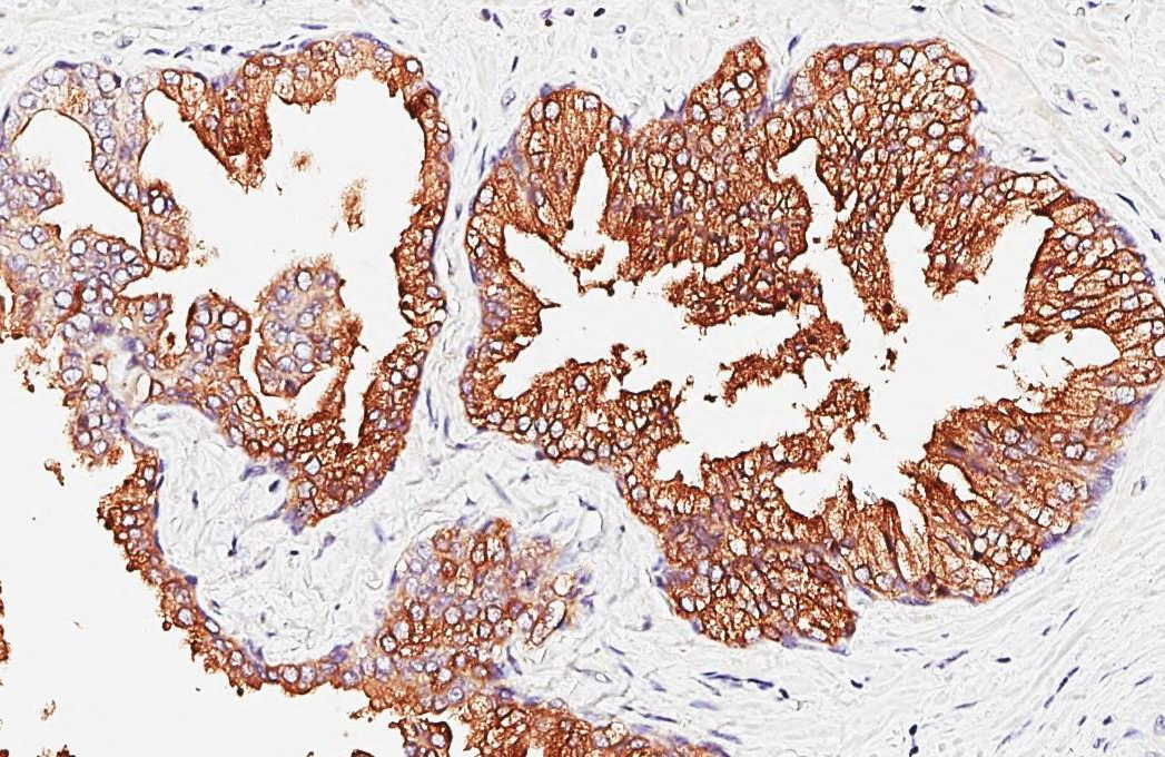
Anti-PSA antibody [C2C3], C-term used in IHC (Paraffin sections) (IHC-P). GTX100054
GTX100054 IHC-P Image

PSA antibody [C2C3], C-term detects PSA protein by immunohistochemical analysis.
Sample: Paraffin-embedded human prostate.
PSA stained by PSA antibody [C2C3], C-term (GTX100054) diluted at 1:1000.
Antigen Retrieval: Citrate buffer, pH 6.0, 15 min

1 / 1
Anti-PSA antibody [C2C3], C-term used in IHC (Paraffin sections) (IHC-P). GTX100054
  • Host
    Rabbit
  • Clonality
    Polyclonal
  • Isotype
    IgG
  • Applications
    IHC-P
  • Reactivity
    Human
See all PSA products