PSAP antibody [HL5063]

Cat. No. GTX645253
Cat. No.  GTX645253
Anti-PSAP antibody [HL5063] used in Western Blot (WB). GTX645253
GTX645253 WB Image

Wild-type (WT) and PSAP knockout (KO) HeLa cell extracts (30 μg) were separated by 10% SDS-PAGE, and the membrane was blotted with PSAP antibody [HL5063] (GTX645253) diluted at 1:500. The HRP-conjugated anti-rabbit IgG antibody (GTX213110-01) was used to detect the primary antibody, and the signal was developed with Trident femto Western HRP Substrate.

1 / 3
Anti-PSAP antibody [HL5063] used in Immunocytochemistry/ Immunofluorescence (ICC/IF). GTX645253
GTX645253 ICC/IF Image

PSAP antibody [HL5063] detects PSAP protein by immunofluorescent analysis.
Sample: HeLa cells were fixed in 4% paraformaldehyde at RT for 15 min.
Green: PSAP stained by PSAP antibody [HL5063] (GTX645253) diluted at 1:500.
Red: alpha Tubulin, a cytoskeleton marker, stained by alpha Tubulin antibody [GT114] (GTX628802) diluted at 1:1000.
Blue: Fluoroshield with DAPI (GTX30920).

2 / 3
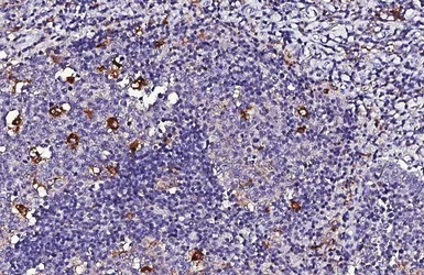
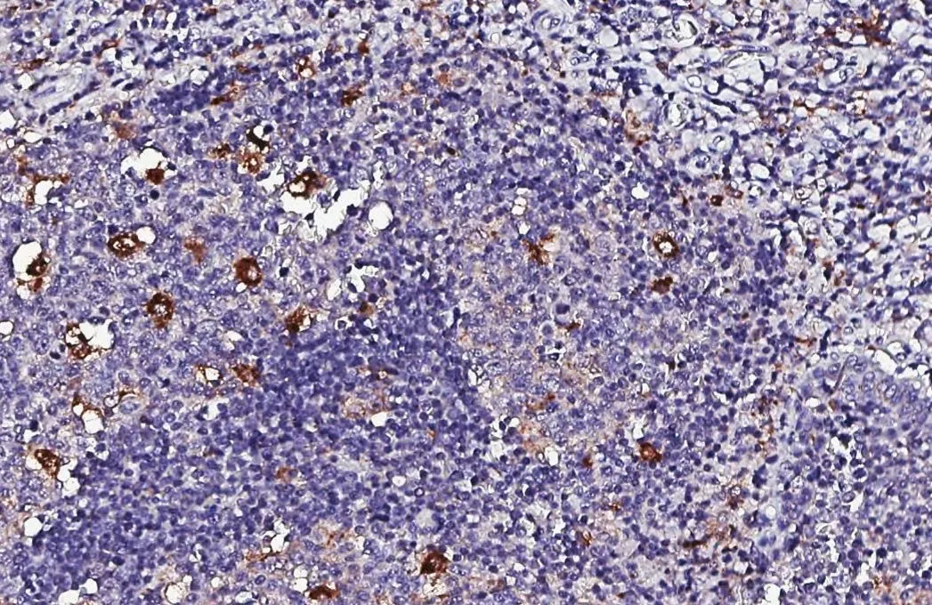
Anti-PSAP antibody [HL5063] used in IHC (Paraffin sections) (IHC-P). GTX645253
GTX645253 IHC-P Image

PSAP antibody [HL5063] detects PSAP protein by immunohistochemical analysis.
Sample: Paraffin-embedded human tonsil.
PSAP stained by PSAP antibody [HL5063] (GTX645253) diluted at 1:200.
Antigen Retrieval: Citrate buffer, pH 6.0, 15 min

3 / 3
Anti-PSAP antibody [HL5063] used in Western Blot (WB). GTX645253
Anti-PSAP antibody [HL5063] used in Immunocytochemistry/ Immunofluorescence (ICC/IF). GTX645253
Anti-PSAP antibody [HL5063] used in IHC (Paraffin sections) (IHC-P). GTX645253
  • Host
    Rabbit
  • Clonality
    Monoclonal
  • Clone Name
    HL5063
  • Isotype
    IgG
  • Applications
    WB ICC/IF IHC-P
  • Reactivity
    Human
See all PSAP products