PSD4 antibody [C1C2], Internal

Cat. No. GTX121282
Cat. No.  GTX121282
Anti-PSD4 antibody [C1C2], Internal used in Western Blot (WB). GTX121282
GTX121282 WB Image

Sample (30 ug of whole cell lysate)
A: A431
7.5% SDS PAGE
GTX121282 diluted at 1:1000

1 / 2
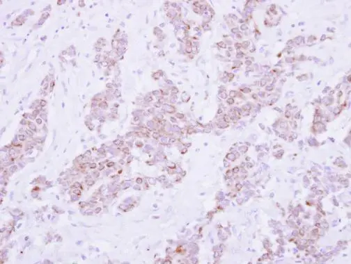
Anti-PSD4 antibody [C1C2], Internal used in IHC (Paraffin sections) (IHC-P). GTX121282
GTX121282 IHC-P Image

Immunohistochemical analysis of paraffin-embedded human breast cancer, using PSD4(GTX121282) antibody at 1:250 dilution.
Antigen Retrieval: Trilogy™ (EDTA based, pH 8.0) buffer, 15min

2 / 2
Anti-PSD4 antibody [C1C2], Internal used in Western Blot (WB). GTX121282
Anti-PSD4 antibody [C1C2], Internal used in IHC (Paraffin sections) (IHC-P). GTX121282
  • Host
    Rabbit
  • Clonality
    Polyclonal
  • Isotype
    IgG
  • Applications
    WB IHC-P
  • Reactivity
    Human
See all PSD4 products