PSKH1 antibody

Cat. No. GTX103525
Cat. No.  GTX103525
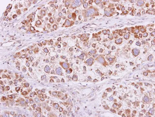
Anti-PSKH1 antibody used in IHC (Paraffin sections) (IHC-P). GTX103525
GTX103525 IHC-P Image

PSKH1 antibody detects PSKH1 protein at cytooplasm and membrane on human liver carcinoma by immunohistochemical analysis.
Sample: Paraffin-embedded liver carcinoma.
PSKH1 antibody (GTX103525) dilution: 1:500.

Antigen Retrieval: Trilogy™ (EDTA based, pH 8.0) buffer, 15min

1 / 3
Anti-PSKH1 antibody used in Immunocytochemistry/ Immunofluorescence (ICC/IF). GTX103525
GTX103525 ICC/IF Image

Confocal immunofluorescence analysis (Olympus FV10i) of paraformaldehyde-fixed A431, using PSKH1(GTX103525) antibody (Green) at 1:500 dilution. Alpha-tubulin filaments were labeled with GTX11304 (Red) at 1:500.

2 / 3
Anti-PSKH1 antibody used in Western Blot (WB). GTX103525
GTX103525 WB Image

Sample(30 ug whole cell lysate)
A:HeLa S3(GTX14654)
B:Hep G2 (GTX27900)
10% SDS PAGE
GTX103525 diluted at 1:1000

3 / 3
Anti-PSKH1 antibody used in IHC (Paraffin sections) (IHC-P). GTX103525
Anti-PSKH1 antibody used in Immunocytochemistry/ Immunofluorescence (ICC/IF). GTX103525
Anti-PSKH1 antibody used in Western Blot (WB). GTX103525
  • Host
    Rabbit
  • Clonality
    Polyclonal
  • Isotype
    IgG
  • Applications
    WB ICC/IF IHC-P
  • Reactivity
    Human
See all PSKH1 products