PSMA4 antibody

Cat. No. GTX54544
Cat. No.  GTX54544
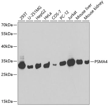
Anti-PSMA4 antibody used in Western Blot (WB). GTX54544
GTX54544 WB Image

WB analysis of various sample lysates using GTX54544 PSMA4 antibody.
Dilution : 1:1000
Loading : 25μg per lane

1 / 2
Anti-PSMA4 antibody used in Immunocytochemistry/ Immunofluorescence (ICC/IF). GTX54544
GTX54544 ICC/IF Image

ICC/IF analysis of U2OS cells using GTX54544 PSMA4 antibody.
Blue : DAPI

2 / 2
Anti-PSMA4 antibody used in Western Blot (WB). GTX54544
Anti-PSMA4 antibody used in Immunocytochemistry/ Immunofluorescence (ICC/IF). GTX54544
  • Host
    Rabbit
  • Clonality
    Polyclonal
  • Isotype
    IgG
  • Applications
    WB ICC/IF
  • Reactivity
    Human, Mouse, Rat, Monkey
See all PSMA4 products