PSMA4 antibody

Cat. No. GTX65846
Cat. No.  GTX65846
Anti-PSMA4 antibody used in Immunocytochemistry/ Immunofluorescence (ICC/IF). GTX65846
GTX65846 ICC/IF Image

ICC/IF analysis of U2OS cells using GTX65846 PSMA4 antibody.
Blue : DAPI

1 / 3
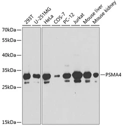
Anti-PSMA4 antibody used in Western Blot (WB). GTX65846
GTX65846 WB Image

WB analysis of various sample lysates using GTX65846 PSMA4 antibody.
Dilution : 1:1000
Loading : 25μg per lane

2 / 3
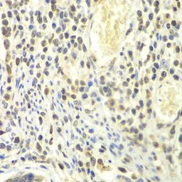
Anti-PSMA4 antibody used in IHC (Paraffin sections) (IHC-P). GTX65846
GTX65846 IHC-P Image

IHC-P analysis of human colon tissue using GTX65846 PSMA4 antibody.
Dilution : 1:100

3 / 3
Anti-PSMA4 antibody used in Immunocytochemistry/ Immunofluorescence (ICC/IF). GTX65846
Anti-PSMA4 antibody used in Western Blot (WB). GTX65846
Anti-PSMA4 antibody used in IHC (Paraffin sections) (IHC-P). GTX65846
  • Host
    Rabbit
  • Clonality
    Polyclonal
  • Isotype
    IgG
  • Applications
    WB ICC/IF IHC-P
  • Reactivity
    Human, Mouse, Rat, Monkey
See all PSMA4 products