PSPC1 antibody

Cat. No. GTX119744
Cat. No.  GTX119744
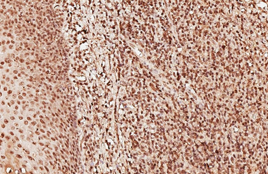
Anti-PSPC1 antibody used in IHC (Paraffin sections) (IHC-P). GTX119744
GTX119744 IHC-P Image

PSPC1 antibody detects PSPC1 protein by immunohistochemical analysis.
Sample: Paraffin-embedded human tonsil.
PSPC1 stained by PSPC1 antibody (GTX119744) diluted at 1:500.
Antigen Retrieval: Tris-EDTA buffer, pH 9.0, 15 min

1 / 7
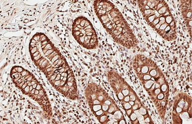
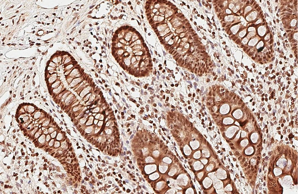
Anti-PSPC1 antibody used in IHC (Paraffin sections) (IHC-P). GTX119744
GTX119744 IHC-P Image

PSPC1 antibody detects PSPC1 protein by immunohistochemical analysis.
Sample: Paraffin-embedded human appendix.
PSPC1 stained by PSPC1 antibody (GTX119744) diluted at 1:500.
Antigen Retrieval: Tris-EDTA buffer, pH 9.0, 15 min

2 / 7
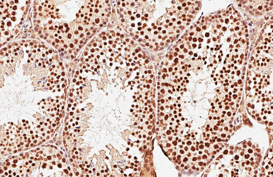
Anti-PSPC1 antibody used in IHC (Paraffin sections) (IHC-P). GTX119744
GTX119744 IHC-P Image

PSPC1 antibody detects PSPC1 protein by immunohistochemical analysis.
Sample: Paraffin-embedded mouse testis.
PSPC1 stained by PSPC1 antibody (GTX119744) diluted at 1:500.
Antigen Retrieval: Tris-EDTA buffer, pH 9.0, 15 min

3 / 7
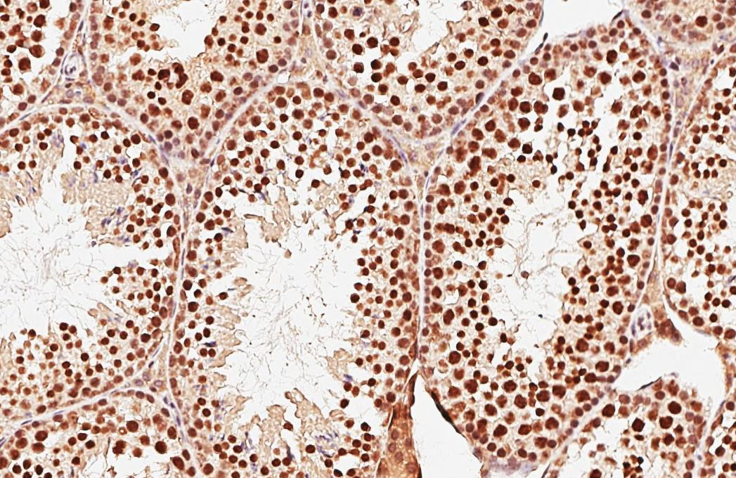
Anti-PSPC1 antibody used in IHC (Paraffin sections) (IHC-P). GTX119744
GTX119744 IHC-P Image

PSPC1 antibody detects PSPC1 protein at nucleus on rat fore brain by immunohistochemical analysis.
Sample: Paraffin-embedded rat fore brain.
PSPC1 antibody (GTX119744) dilution: 1:500.

Antigen Retrieval: Trilogy™ (EDTA based, pH 8.0) buffer, 15min

4 / 7
Anti-PSPC1 antibody used in Western Blot (WB). GTX119744
GTX119744 WB Image

PSPC1 antibody detects PSPC1 protein by western blot analysis.
A. 30 μg 293T whole cell lysate/extract
B. 30 μg HeLa whole cell lysate/extract
C. 30 μg HepG2 whole cell lysate/extract
7.5% SDS-PAGE
PSPC1 antibody (GTX119744) dilution: 1:2000
The HRP-conjugated anti-rabbit IgG antibody (GTX213110-01) was used to detect the primary antibody.

5 / 7
Anti-PSPC1 antibody used in IHC (Paraffin sections) (IHC-P). GTX119744
GTX119744 IHC-P Image

PSPC1 antibody detects PSPC1 protein at nucleus on mouse hind brain by immunohistochemical analysis.
Sample: Paraffin-embedded mouse hind brain.
PSPC1 antibody (GTX119744) dilution: 1:500.

Antigen Retrieval: Trilogy™ (EDTA based, pH 8.0) buffer, 15min

6 / 7
Anti-PSPC1 antibody used in Immunocytochemistry/ Immunofluorescence (ICC/IF). GTX119744
GTX119744 ICC/IF Image

PSPC1 antibody detects PSPC1 protein at nucleus by immunofluorescent analysis.
Sample: HeLa cells were fixed in 4% paraformaldehyde at RT for 15 min.
Green: PSPC1 protein stained by PSPC1 antibody (GTX119744) diluted at 1:500.
Blue: Hoechst 33342 staining.

7 / 7
Anti-PSPC1 antibody used in IHC (Paraffin sections) (IHC-P). GTX119744
Anti-PSPC1 antibody used in IHC (Paraffin sections) (IHC-P). GTX119744
Anti-PSPC1 antibody used in IHC (Paraffin sections) (IHC-P). GTX119744
Anti-PSPC1 antibody used in IHC (Paraffin sections) (IHC-P). GTX119744
Anti-PSPC1 antibody used in Western Blot (WB). GTX119744
Anti-PSPC1 antibody used in IHC (Paraffin sections) (IHC-P). GTX119744
Anti-PSPC1 antibody used in Immunocytochemistry/ Immunofluorescence (ICC/IF). GTX119744
  • Host
    Rabbit
  • Clonality
    Polyclonal
  • Isotype
    IgG
  • Applications
    WB ICC/IF IHC-P
  • Reactivity
    Human, Mouse, Rat
See all PSPC1 products