PSPH antibody

Cat. No. GTX33442
Cat. No.  GTX33442
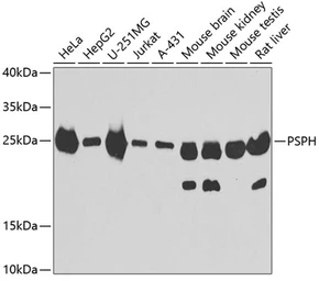
Anti-PSPH antibody used in Western Blot (WB). GTX33442
GTX33442 WB Image

WB analysis of various sample lysates using GTX33442 PSPH antibody.
Dilution : 1:1000
Loading : 25μg per lane

1 / 3
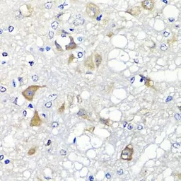
Anti-PSPH antibody used in IHC (Paraffin sections) (IHC-P). GTX33442
GTX33442 IHC-P Image

IHC-P analysis of human stomach tissue using GTX33442 PSPH antibody.
Dilution : 1:100

2 / 3
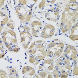
Anti-PSPH antibody used in IHC (Paraffin sections) (IHC-P). GTX33442
GTX33442 IHC-P Image

IHC-P analysis of rat brain tissue using GTX33442 PSPH antibody.
Dilution : 1:100

3 / 3
Anti-PSPH antibody used in Western Blot (WB). GTX33442
Anti-PSPH antibody used in IHC (Paraffin sections) (IHC-P). GTX33442
Anti-PSPH antibody used in IHC (Paraffin sections) (IHC-P). GTX33442
  • Host
    Rabbit
  • Clonality
    Polyclonal
  • Isotype
    IgG
  • Applications
    WB IHC-P
  • Reactivity
    Human, Mouse, Rat
See all PSPH products