PTEN antibody

Cat. No. GTX50411
Cat. No.  GTX50411
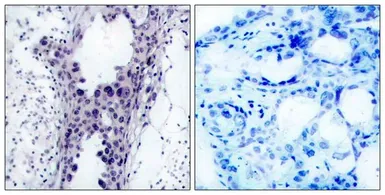
Anti-PTEN antibody used in IHC (Paraffin sections) (IHC-P). GTX50411
GTX50411 IHC-P Image

IHC-P analysis of human breast carcinoma tissue using GTX50411 PTEN antibody.
Left : Primary antibody
Right : Primary antibody pre-incubated with the antigen specific peptide

1 / 2
Anti-PTEN antibody used in Western Blot (WB). GTX50411
GTX50411 WB Image

WB analysis of extracts from HT-29 cells using GTX50411 PTEN antibody with or without blocking peptide.

2 / 2
Anti-PTEN antibody used in IHC (Paraffin sections) (IHC-P). GTX50411
Anti-PTEN antibody used in Western Blot (WB). GTX50411
  • Host
    Rabbit
  • Clonality
    Polyclonal
  • Isotype
    IgG
  • Applications
    WB IHC-P IHC-Fr
  • Reactivity
    Human, Rat
See all PTEN products