PTGFR antibody

Cat. No. GTX71101
Cat. No.  GTX71101
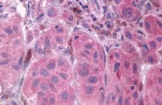
Anti-PTGFR antibody used in IHC (Paraffin sections) (IHC-P). GTX71101
GTX71101 IHC-P Image

IHC-P analysis of human skin, melanoma tissue using GTX71101 PTGFR antibody.
Antigen retrieval : Heat-induced antigen retrieval

1 / 3
Anti-PTGFR antibody used in Immunocytochemistry/ Immunofluorescence (ICC/IF). GTX71101
GTX71101 ICC/IF Image

ICC/IF analysis of HEK293 transfected with PTGFR using GTX71101 PTGFR antibody.

2 / 3
Anti-PTGFR antibody used in IHC (Paraffin sections) (IHC-P). GTX71101
GTX71101 IHC-P Image

IHC-P analysis of human ovary tissue using GTX71101 PTGFR antibody.
Antigen retrieval : Heat-induced antigen retrieval

3 / 3
Anti-PTGFR antibody used in IHC (Paraffin sections) (IHC-P). GTX71101
Anti-PTGFR antibody used in Immunocytochemistry/ Immunofluorescence (ICC/IF). GTX71101
Anti-PTGFR antibody used in IHC (Paraffin sections) (IHC-P). GTX71101
  • Host
    Rabbit
  • Clonality
    Polyclonal
  • Isotype
    IgG
  • Applications
    ICC/IF IHC-P
  • Reactivity
    Human, Monkey, Horse
See all PTGFR products