PTP1B antibody [N1N3]

Cat. No. GTX106104
Cat. No.  GTX106104
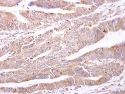
Anti-PTP1B antibody [N1N3] used in IHC (Paraffin sections) (IHC-P). GTX106104
GTX106104 IHC-P Image

PTP1B antibody [N1N3] detects PTP1B protein at cytosol on human colon carcinoma by immunohistochemical analysis.
Sample: Paraffin-embedded human colon carcinoma.
PTP1B antibody [N1N3] (GTX106104) dilution: 1:500.

Antigen Retrieval: Trilogy™ (EDTA based, pH 8.0) buffer, 15min

1 / 2
Anti-PTP1B antibody [N1N3] used in Western Blot (WB). GTX106104
GTX106104 WB Image

Sample(30 ug whole cell lysate)
A:Raji (GTX27908)
7.5% SDS PAGE
GTX106104 diluted at 1:500

2 / 2
Anti-PTP1B antibody [N1N3] used in IHC (Paraffin sections) (IHC-P). GTX106104
Anti-PTP1B antibody [N1N3] used in Western Blot (WB). GTX106104
  • Host
    Rabbit
  • Clonality
    Polyclonal
  • Isotype
    IgG
  • Applications
    WB IHC-P
  • Reactivity
    Human
See all PTP1B products