PTPRE antibody [2A9]

Cat. No. GTX83761
Cat. No.  GTX83761
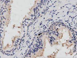
Anti-PTPRE antibody [2A9] used in IHC (Paraffin sections) (IHC-P). GTX83761
GTX83761 IHC-P Image

IHC-P analysis of human endometrium adenocarcinoma tissue using GTX83761 PTPRE antibody [2A9].
Antigen retrieval : Heat-induced epitope retrieval by 10mM citrate buffer, pH6.0, 100ºC for 10min.
Dilution : 1:50

1 / 6
Anti-PTPRE antibody [2A9] used in Immunocytochemistry/ Immunofluorescence (ICC/IF). GTX83761
GTX83761 ICC/IF Image

ICC/IF analysis of COS7 cells transiently transfected with PTPRE plasmid using GTX83761 PTPRE antibody [2A9].

2 / 6
Anti-PTPRE antibody [2A9] used in Western Blot (WB). GTX83761
GTX83761 WB Image

WB analysis of HeLa and MCF-7 cell lysate using GTX83761 PTPRE antibody [2A9].
Loading : 10 ug per lane
Dilution : 1:200

3 / 6
Anti-PTPRE antibody [2A9] used in IHC (Paraffin sections) (IHC-P). GTX83761
GTX83761 IHC-P Image

IHC-P analysis of human prostate carcinoma tissue using GTX83761 PTPRE antibody [2A9].
Antigen retrieval : Heat-induced epitope retrieval by 10mM citrate buffer, pH6.0, 100ºC for 10min.
Dilution : 1:50

4 / 6
Anti-PTPRE antibody [2A9] used in Flow cytometry (FCM). GTX83761
GTX83761 FCM Image

FACS analysis of HEK293T cells transfected with either PTPRE plasmid(Red) or empty vector control plasmid(Blue) using GTX83761 PTPRE antibody [2A9].

5 / 6
Anti-PTPRE antibody [2A9] used in IHC (Paraffin sections) (IHC-P). GTX83761
GTX83761 IHC-P Image

IHC-P analysis of human prostate tissue using GTX83761 PTPRE antibody [2A9].
Antigen retrieval : Heat-induced epitope retrieval by 10mM citrate buffer, pH6.0, 100ºC for 10min.
Dilution : 1:50

6 / 6
Anti-PTPRE antibody [2A9] used in IHC (Paraffin sections) (IHC-P). GTX83761
Anti-PTPRE antibody [2A9] used in Immunocytochemistry/ Immunofluorescence (ICC/IF). GTX83761
Anti-PTPRE antibody [2A9] used in Western Blot (WB). GTX83761
Anti-PTPRE antibody [2A9] used in IHC (Paraffin sections) (IHC-P). GTX83761
Anti-PTPRE antibody [2A9] used in Flow cytometry (FCM). GTX83761
Anti-PTPRE antibody [2A9] used in IHC (Paraffin sections) (IHC-P). GTX83761
  • Host
    Mouse
  • Clonality
    Monoclonal
  • Clone Name
    2A9
  • Isotype
    IgG2b
  • Applications
    WB ICC/IF IHC-P FCM
  • Reactivity
    Human
See all PTPRE products