PUF60 antibody [GT677]

Cat. No. GTX629886
Cat. No.  GTX629886
Anti-PUF60 antibody [GT677] used in Western Blot (WB). GTX629886
GTX629886 WB Image

PUF60 antibody [GT677] detects PUF60 protein by western blot analysis.
A. 50 μg rat brain lysate/extract
7.5% SDS-PAGE
PUF60 antibody [GT677] (GTX629886) dilution: 1:1000
The HRP-conjugated anti-mouse IgG antibody (GTX213111-01) was used to detect the primary antibody.

1 / 5
Anti-PUF60 antibody [GT677] used in Western Blot (WB). GTX629886
GTX629886 WB Image

PUF60 antibody [GT677] detects PUF60 protein by western blot analysis.
A. 30 μg 293T whole cell lysate/extract
B. 30 μg A431 whole cell lysate/extract
C. 30 μg HeLa whole cell lysate/extract
D. 30 μg HepG2 whole cell lysate/extract
7.5% SDS-PAGE
PUF60 antibody [GT677] (GTX629886) dilution: 1:5000
The HRP-conjugated anti-mouse IgG antibody (GTX213111-01) was used to detect the primary antibody.

2 / 5
Anti-PUF60 antibody [GT677] used in Immunocytochemistry/ Immunofluorescence (ICC/IF). GTX629886
GTX629886 ICC/IF Image

PUF60 antibody [GT677]PUF60 antibody [GT677] detects PUF60 protein at nucleus by immunofluorescent analysis.
Sample: A431 cells were fixed in 4% paraformaldehyde at RT for 15 min.
Green: PUF60 protein stained by PUF60 antibody [GT677] (GTX629886) diluted at 1:500.
Blue: Hoechst 33342 staining.

3 / 5
Anti-PUF60 antibody [GT677] used in Western Blot (WB). GTX629886
GTX629886 WB Image

PUF60 antibody [GT677] detects PUF60 protein by western blot analysis.
A. 50 μg mouse brain lysate/extract
7.5% SDS-PAGE
PUF60 antibody [GT677] (GTX629886) dilution: 1:1000
The HRP-conjugated anti-mouse IgG antibody (GTX213111-01) was used to detect the primary antibody.

4 / 5
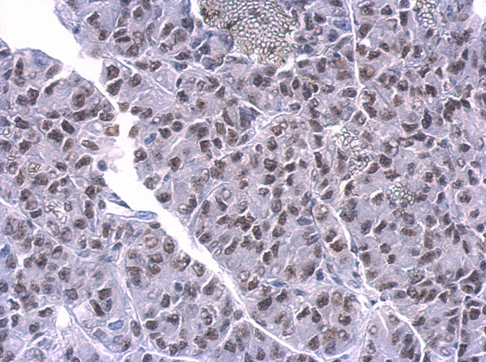
Anti-PUF60 antibody [GT677] used in IHC (Paraffin sections) (IHC-P). GTX629886
GTX629886 IHC-P Image

PUF60 antibody [GT677] detects PUF60 protein at on gastric carcinoma by immunohistochemical analysis.
Sample: Paraffin-embedded AGS xenograft.
PUF60 antibody [GT677] (GTX629886) dilution: 1:100.

Antigen Retrieval: Trilogy™ (EDTA based, pH 8.0) buffer, 15min

5 / 5
Anti-PUF60 antibody [GT677] used in Western Blot (WB). GTX629886
Anti-PUF60 antibody [GT677] used in Western Blot (WB). GTX629886
Anti-PUF60 antibody [GT677] used in Immunocytochemistry/ Immunofluorescence (ICC/IF). GTX629886
Anti-PUF60 antibody [GT677] used in Western Blot (WB). GTX629886
Anti-PUF60 antibody [GT677] used in IHC (Paraffin sections) (IHC-P). GTX629886
  • Host
    Mouse
  • Clonality
    Monoclonal
  • Clone Name
    GT677
  • Isotype
    IgG2a
  • Applications
    WB ICC/IF IHC-P
  • Reactivity
    Human, Mouse, Rat
See all PUF60 products