PVRL4 antibody [N1C1]

Cat. No. GTX116900
Cat. No.  GTX116900
Anti-PVRL4 antibody [N1C1] used in Western Blot (WB). GTX116900
GTX116900 WB Image

Various whole cell extracts (30 μg) were separated by 10% SDS-PAGE, and the membrane was blotted with PVRL4 antibody [N1C1] (GTX116900) diluted at 1:2000. The HRP-conjugated anti-rabbit IgG antibody (GTX213110-01) was used to detect the primary antibody. Corresponding RNA expression data for the same cell lines are based on Human Protein Atlas program.

1 / 3
Anti-PVRL4 antibody [N1C1] used in Western Blot (WB). GTX116900
GTX116900 WB Image

HaCaT whole cell and membrane extracts (30 μg) were separated by 10% SDS-PAGE, and the membrane was blotted with PVRL4 antibody [N1C1] (GTX116900) diluted at 1:1000. The HRP-conjugated anti-rabbit IgG antibody (GTX213110-01) was used to detect the primary antibody.

2 / 3
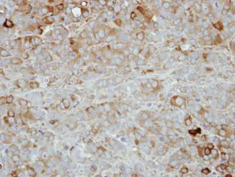
Anti-PVRL4 antibody [N1C1] used in IHC (Paraffin sections) (IHC-P). GTX116900
GTX116900 IHC-P Image

Immunohistochemical analysis of paraffin-embedded MCF7 xenograft, using PVRL4(GTX116900) antibody at 1:500 dilution.
Antigen Retrieval: Trilogy™ (EDTA based, pH 8.0) buffer, 15min

3 / 3
Anti-PVRL4 antibody [N1C1] used in Western Blot (WB). GTX116900
Anti-PVRL4 antibody [N1C1] used in Western Blot (WB). GTX116900
Anti-PVRL4 antibody [N1C1] used in IHC (Paraffin sections) (IHC-P). GTX116900
  • Host
    Rabbit
  • Clonality
    Polyclonal
  • Isotype
    IgG
  • Applications
    WB IHC-P
  • Reactivity
    Human
See all PVRL4 products