PYCR1 antibody

Cat. No. GTX114693
Cat. No.  GTX114693
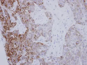
Anti-PYCR1 antibody used in IHC (Paraffin sections) (IHC-P). GTX114693
GTX114693 IHC-P Image

Immunohistochemical analysis of paraffin-embedded human breast cancer, using PYCR1(GTX114693) antibody at 1:250 dilution.
Antigen Retrieval: Trilogy™ (EDTA based, pH 8.0) buffer, 15min

1 / 3
Anti-PYCR1 antibody used in Immunocytochemistry/ Immunofluorescence (ICC/IF). GTX114693
GTX114693 ICC/IF Image

PYCR1 antibody detects PYCR1 protein at mitochondria by immunofluorescent analysis.
Sample: HeLa cells were fixed in 2% paraformaldehyde/culture medium at 37ºC for 30 min.
Green: PYCR1 protein stained by PYCR1 antibody (GTX114693) diluted at 1:500.
Blue: Hoechst 33342 staining.

2 / 3
Anti-PYCR1 antibody used in Western Blot (WB). GTX114693
GTX114693 WB Image

Whole cell extract (30 μg) was separated by 12% SDS-PAGE, and the membrane was blotted with PYCR1 antibody (GTX114693) diluted at 1:1000. The HRP-conjugated anti-rabbit IgG antibody (GTX213110-01) was used to detect the primary antibody, and the signal was developed with Trident ECL plus-Enhanced.

3 / 3
Anti-PYCR1 antibody used in IHC (Paraffin sections) (IHC-P). GTX114693
Anti-PYCR1 antibody used in Immunocytochemistry/ Immunofluorescence (ICC/IF). GTX114693
Anti-PYCR1 antibody used in Western Blot (WB). GTX114693
  • Host
    Rabbit
  • Clonality
    Polyclonal
  • Isotype
    IgG
  • Applications
    WB ICC/IF IHC-P
  • Reactivity
    Human
See all PYCR1 products