PYCR2 antibody

Cat. No. GTX66340
Cat. No.  GTX66340
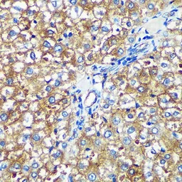
Anti-PYCR2 antibody used in IHC (Paraffin sections) (IHC-P). GTX66340
GTX66340 IHC-P Image

IHC-P analysis of rat liver tissue using GTX66340 PYCR2 antibody.
Dilution : 1:100

1 / 7
Anti-PYCR2 antibody used in Immunocytochemistry/ Immunofluorescence (ICC/IF). GTX66340
GTX66340 ICC/IF Image

ICC/IF analysis of L929 cells using GTX66340 PYCR2 antibody.
Blue : DAPI
Dilution : 1:100

2 / 7
Anti-PYCR2 antibody used in Western Blot (WB). GTX66340
GTX66340 WB Image

WB analysis of various sample lysates using GTX66340 PYCR2 antibody.
Dilution : 1:1000
Loading : 25μg per lane

3 / 7
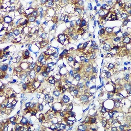
Anti-PYCR2 antibody used in IHC (Paraffin sections) (IHC-P). GTX66340
GTX66340 IHC-P Image

IHC-P analysis of human liver cancer tissue using GTX66340 PYCR2 antibody.
Dilution : 1:100

4 / 7
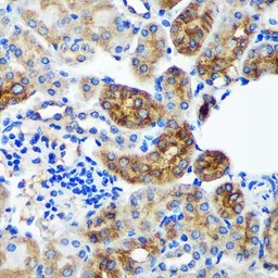
Anti-PYCR2 antibody used in IHC (Paraffin sections) (IHC-P). GTX66340
GTX66340 IHC-P Image

IHC-P analysis of mouse kidney tissue using GTX66340 PYCR2 antibody.
Dilution : 1:100

5 / 7
Anti-PYCR2 antibody used in Immunocytochemistry/ Immunofluorescence (ICC/IF). GTX66340
GTX66340 ICC/IF Image

ICC/IF analysis of HeLa cells using GTX66340 PYCR2 antibody.
Blue : DAPI
Dilution : 1:100

6 / 7
Anti-PYCR2 antibody used in Immunocytochemistry/ Immunofluorescence (ICC/IF). GTX66340
GTX66340 ICC/IF Image

ICC/IF analysis of C6 cells using GTX66340 PYCR2 antibody.
Blue : DAPI
Dilution : 1:100

7 / 7
Anti-PYCR2 antibody used in IHC (Paraffin sections) (IHC-P). GTX66340
Anti-PYCR2 antibody used in Immunocytochemistry/ Immunofluorescence (ICC/IF). GTX66340
Anti-PYCR2 antibody used in Western Blot (WB). GTX66340
Anti-PYCR2 antibody used in IHC (Paraffin sections) (IHC-P). GTX66340
Anti-PYCR2 antibody used in IHC (Paraffin sections) (IHC-P). GTX66340
Anti-PYCR2 antibody used in Immunocytochemistry/ Immunofluorescence (ICC/IF). GTX66340
Anti-PYCR2 antibody used in Immunocytochemistry/ Immunofluorescence (ICC/IF). GTX66340
  • Host
    Rabbit
  • Clonality
    Polyclonal
  • Isotype
    IgG
  • Applications
    WB ICC/IF IHC-P
  • Reactivity
    Human, Mouse, Rat
See all PYCR2 products