Pancreatic Polypeptide antibody, Internal

Cat. No. GTX89539
Cat. No.  GTX89539
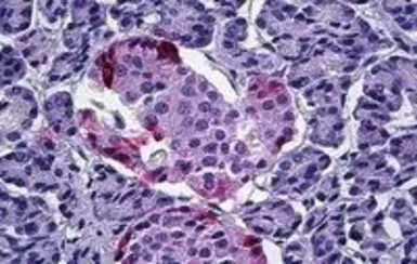
Anti-Pancreatic Polypeptide antibody, Internal used in IHC (Paraffin sections) (IHC-P). GTX89539
GTX89539 IHC-P Image

IHC-P analysis of human pancreas using GTX89539 Pancreatic Polypeptide antibody, Internal.
Antigen retrieval : Tris/EDTA buffer pH 9
Dilution : 3μg/ml

1 / 3
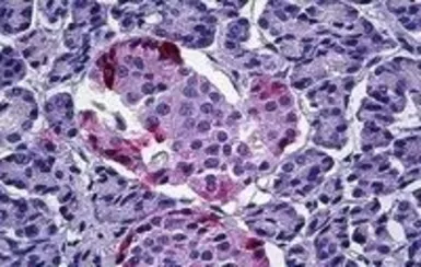
Anti-Pancreatic Polypeptide antibody, Internal used in IHC (Paraffin sections) (IHC-P). GTX89539
GTX89539 IHC-P Image

IHC-P analysis of human pancreas using GTX89539 Pancreatic Polypeptide antibody, Internal.
Antigen retrieval : citrate buffer pH 6
Dilution : 5μg/ml

2 / 3
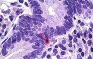
Anti-Pancreatic Polypeptide antibody, Internal used in IHC (Paraffin sections) (IHC-P). GTX89539
GTX89539 IHC-P Image

IHC-P analysis of human Intestine using GTX89539 Pancreatic Polypeptide antibody, Internal.
Antigen retrieval : citrate buffer pH 6
Dilution : 5μg/ml

3 / 3
Anti-Pancreatic Polypeptide antibody, Internal used in IHC (Paraffin sections) (IHC-P). GTX89539
Anti-Pancreatic Polypeptide antibody, Internal used in IHC (Paraffin sections) (IHC-P). GTX89539
Anti-Pancreatic Polypeptide antibody, Internal used in IHC (Paraffin sections) (IHC-P). GTX89539
  • Host
    Goat
  • Clonality
    Polyclonal
  • Isotype
    IgG
  • Applications
    WB ICC/IF IHC-P
  • Reactivity
    Human, Rat
See all Pancreatic Polypeptide products