Parathyroid Hormone antibody [PTH/1175]

Cat. No. GTX34953
Cat. No.  GTX34953
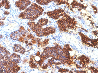
Anti-Parathyroid Hormone antibody [PTH/1175] used in IHC (Paraffin sections) (IHC-P). GTX34953
GTX34953 IHC-P Image

IHC-P analysis of human parathyroid gland tissue using GTX34953 Parathyroid Hormone antibody [PTH/1175].

1 / 2
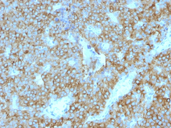
Anti-Parathyroid Hormone antibody [PTH/1175] used in IHC (Paraffin sections) (IHC-P). GTX34953
GTX34953 IHC-P Image

IHC-P analysis of human parathyroid gland tissue using GTX34953 Parathyroid Hormone antibody [PTH/1175].

2 / 2
Anti-Parathyroid Hormone antibody [PTH/1175] used in IHC (Paraffin sections) (IHC-P). GTX34953
Anti-Parathyroid Hormone antibody [PTH/1175] used in IHC (Paraffin sections) (IHC-P). GTX34953
  • Host
    Mouse
  • Clonality
    Monoclonal
  • Clone Name
    PTH/1175
  • Isotype
    IgG2b
  • Applications
    IHC-P
  • Reactivity
    Human
See all Parathyroid Hormone products