Pentraxin 3 antibody

Cat. No. GTX64405
Cat. No.  GTX64405
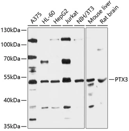
Anti-Pentraxin 3 antibody used in Western Blot (WB). GTX64405
GTX64405 WB Image

WB analysis of various sample lysates using GTX64405 Pentraxin 3 antibody. The signal was developed with ECL plus-Enhanced.
Dilution : 1:3000
Loading : 25μg per lane

1 / 1
Anti-Pentraxin 3 antibody used in Western Blot (WB). GTX64405
  • Host
    Rabbit
  • Clonality
    Polyclonal
  • Isotype
    IgG
  • Applications
    WB
  • Reactivity
    Human, Mouse, Rat
See all Pentraxin 3 products