Pepsinogen I antibody [HL2137]

Cat. No. GTX638109
Cat. No.  GTX638109
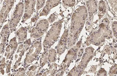
Anti-Pepsinogen I antibody [HL2137] used in IHC (Paraffin sections) (IHC-P). GTX638109
GTX638109 IHC-P Image

Pepsinogen I antibody [HL2137] detects Pepsinogen I protein at cytoplasm by immunohistochemical analysis.
Sample: Paraffin-embedded human stomach.
Pepsinogen I stained by Pepsinogen I antibody [HL2137] (GTX638109) diluted at 1:500.
Antigen Retrieval: Citrate buffer, pH 6.0, 15 min

1 / 5
Anti-Pepsinogen I antibody [HL2137] used in ELISA (ELISA). GTX638109
GTX638109 ELISA Image

Indirect ELISA analysis was performed by coating the plate with recombinant NS0 cells expressed, full-length human pepsinogen A protein (97.56-1.52 nM). Coated protein was probed with Pepsinogen I antibody [HL2137] (GTX638109) (1 μg/mL). Goat anti-rabbit IgG antibody (HRP) (GTX213110-01) (1:10000) was used to detect the bound primary antibody.

2 / 5
Anti-Pepsinogen I antibody [HL2137] used in Immunocytochemistry/ Immunofluorescence (ICC/IF). GTX638109
GTX638109 ICC/IF Image

Pepsinogen I antibody [HL2137] detects Pepsinogen I protein at cytoplasm by immunofluorescent analysis.
Sample: THP-1 cells were fixed in 4% paraformaldehyde at RT for 15 min.
Green: Pepsinogen I stained by Pepsinogen I antibody [HL2137] (GTX638109) diluted at 1:500.
Blue: Fluoroshield with DAPI (GTX30920).

3 / 5
Anti-Pepsinogen I antibody [HL2137] used in Western Blot (WB). GTX638109
GTX638109 WB Image

Various tissue extracts (10 μg) were separated by 10% SDS-PAGE, and the membrane was blotted with Pepsinogen I antibody [HL2137] (GTX638109) diluted at 1:1000. The HRP-conjugated anti-rabbit IgG antibody (GTX213110-01) was used to detect the primary antibody.

4 / 5
Anti-Pepsinogen I antibody [HL2137] used in Western Blot (WB). GTX638109
GTX638109 WB Image

Various tissue extracts (50 μg) were separated by 10% SDS-PAGE, and the membrane was blotted with Pepsinogen I antibody [HL2137] (GTX638109) diluted at 1:1000. The HRP-conjugated anti-rabbit IgG antibody (GTX213110-01) was used to detect the primary antibody, and the signal was developed with Trident ECL plus-Enhanced.

5 / 5
Anti-Pepsinogen I antibody [HL2137] used in IHC (Paraffin sections) (IHC-P). GTX638109
Anti-Pepsinogen I antibody [HL2137] used in ELISA (ELISA). GTX638109
Anti-Pepsinogen I antibody [HL2137] used in Immunocytochemistry/ Immunofluorescence (ICC/IF). GTX638109
Anti-Pepsinogen I antibody [HL2137] used in Western Blot (WB). GTX638109
Anti-Pepsinogen I antibody [HL2137] used in Western Blot (WB). GTX638109
  • Host
    Rabbit
  • Clonality
    Monoclonal
  • Clone Name
    HL2137
  • Isotype
    IgG
  • Applications
    WB ICC/IF IHC-P ELISA
  • Reactivity
    Human, Mouse, Rat
See all Pepsinogen I products