Peptide YY antibody [1]

Cat. No. GTX60975
Cat. No.  GTX60975
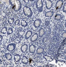
Anti-Peptide YY antibody [1] used in IHC (Paraffin sections) (IHC-P). GTX60975
GTX60975 IHC-P Image

Paraffin-embedded human small intestine tissue immunostained with GTX60975

1 / 2
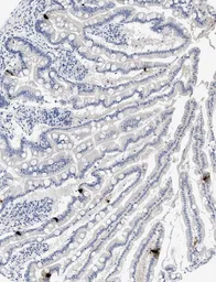
Anti-Peptide YY antibody [1] used in IHC (Paraffin sections) (IHC-P). GTX60975
GTX60975 IHC-P Image

Paraffin-embedded human small intestine tissue immunostained with GTX60975

2 / 2
Anti-Peptide YY antibody [1] used in IHC (Paraffin sections) (IHC-P). GTX60975
Anti-Peptide YY antibody [1] used in IHC (Paraffin sections) (IHC-P). GTX60975
  • Host
    Mouse
  • Clonality
    Monoclonal
  • Clone Name
    1
  • Isotype
    IgG1
  • Applications
    IHC-P ELISA
  • Reactivity
    Human
See all Peptide YY products