Peregrin antibody [HL2064]
Cat. No. GTX637968
                        Cat. No.  GTX637968
                                
                    
                            - 
                                            HostRabbit
- 
                                            ClonalityMonoclonal
- 
                                            Clone NameHL2064
- 
                                                IsotypeIgG
- 
                                            ApplicationsWB IHC-P
- 
                                            ReactivityHuman, Mouse
 
                                             
                                             
                                             
                                            ![Anti-Peregrin antibody [HL2064] used in Western Blot (WB). GTX637968](/upload/website/prouct_img/middle/GTX637968/GTX637968_T-44886_20230106_WB_KO_watermark_23010922_477.webp) 
                                                        ![Anti-Peregrin antibody [HL2064] used in Western Blot (WB). GTX637968](/upload/website/prouct_img/middle/GTX637968/GTX637968_44956_20240202_WB_B_24021917_218.webp) 
                                                            
                                                        ![Anti-Peregrin antibody [HL2064] used in Western Blot (WB). GTX637968](/upload/website/prouct_img/middle/GTX637968/GTX637968_44956_20230217_WB_TPM_watermark_23022022_326.webp) 
                                                            
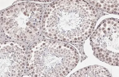
                                                        ![Anti-Peregrin antibody [HL2064] used in IHC (Paraffin sections) (IHC-P). GTX637968](/upload/website/prouct_img/middle/GTX637968/GTX637968_T-44886_20221230_IHC-P_M_23020621_535.webp) 
                                                            
                                                        ![Anti-Peregrin antibody [HL2064] used in Western Blot (WB). GTX637968](/upload/website/prouct_img/middle/GTX637968/GTX637968_T-44886_20221216_WB_M_R_22122018_204.webp)