Peroxiredoxin 6 antibody [HL3951]

Cat. No. GTX642201
Cat. No.  GTX642201
Anti-Peroxiredoxin 6 antibody [HL3951] used in Western Blot (WB). GTX642201
GTX642201 WB Image

Whole zebrafish extract (30 μg) was separated by 12% SDS-PAGE, and the membrane was blotted with Peroxiredoxin 6 antibody [HL3951] (GTX642201) diluted at 1:1000. The HRP-conjugated anti-rabbit IgG antibody (GTX213110-01) was used to detect the primary antibody, and the signal was developed with Trident femto Western HRP Substrate.

1 / 8
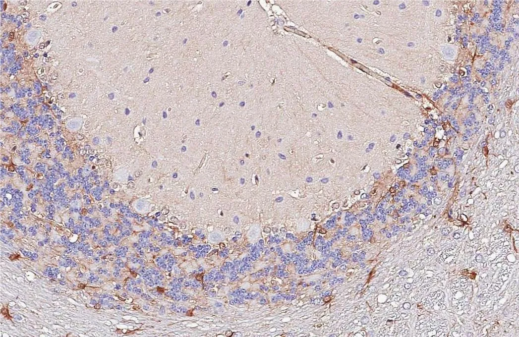
Anti-Peroxiredoxin 6 antibody [HL3951] used in IHC (Paraffin sections) (IHC-P). GTX642201
GTX642201 IHC-P Image

Peroxiredoxin 6 antibody [HL3951] detects Peroxiredoxin 6 protein by immunohistochemical analysis.
Sample: Paraffin-embedded rat cerebellum.
Peroxiredoxin 6 stained by Peroxiredoxin 6 antibody [HL3951] (GTX642201) diluted at 1:250.
Antigen Retrieval: Citrate buffer, pH 6.0, 15 min

2 / 8
Anti-Peroxiredoxin 6 antibody [HL3951] used in IHC (Paraffin sections) (IHC-P). GTX642201
GTX642201 IHC-P Image

Peroxiredoxin 6 antibody [HL3951] detects Peroxiredoxin 6 protein by immunohistochemical analysis.
Sample: Paraffin-embedded rat tissues.
Peroxiredoxin 6 stained by Peroxiredoxin 6 antibody [HL3951] (GTX642201) diluted at 1:250.
Antigen Retrieval: Citrate buffer, pH 6.0, 15 min

3 / 8
Anti-Peroxiredoxin 6 antibody [HL3951] used in IHC (Paraffin sections) (IHC-P). GTX642201
GTX642201 IHC-P Image

Peroxiredoxin 6 antibody [HL3951] detects Peroxiredoxin 6 protein by immunohistochemical analysis.
Sample: Paraffin-embedded mouse hippocampus.
Green: Peroxiredoxin 6 stained by Peroxiredoxin 6 antibody [HL3951] (GTX642201) diluted at 1:200.
Red: GFAP antibody [GT25] (GTX641104) diluted at 1:250.
Blue: Fluoroshield with DAPI (GTX30920).
Antigen Retrieval: Citrate buffer, pH 6.0, 15 min

4 / 8
Anti-Peroxiredoxin 6 antibody [HL3951] used in IHC (Paraffin sections) (IHC-P). GTX642201
GTX642201 IHC-P Image

Peroxiredoxin 6 antibody [HL3951] detects Peroxiredoxin 6 protein by immunohistochemical analysis.
Sample: Paraffin-embedded mouse tissues.
Peroxiredoxin 6 stained by Peroxiredoxin 6 antibody [HL3951] (GTX642201) diluted at 1:200.
Antigen Retrieval: Citrate buffer, pH 6.0, 15 min

5 / 8
Anti-Peroxiredoxin 6 antibody [HL3951] used in Western Blot (WB). GTX642201
GTX642201 WB Image

Rat tissue extract (50 μg) was separated by 12% SDS-PAGE, and the membrane was blotted with Peroxiredoxin 6 antibody [HL3951] (GTX642201) diluted at 1:1000. The HRP-conjugated anti-rabbit IgG antibody (GTX213110-01) was used to detect the primary antibody.

6 / 8
Anti-Peroxiredoxin 6 antibody [HL3951] used in Western Blot (WB). GTX642201
GTX642201 WB Image

Various whole cell extracts (30 μg) were separated by 12% SDS-PAGE, and the membrane was blotted with Peroxiredoxin 6 antibody [HL3951] (GTX642201) diluted at 1:10000. The HRP-conjugated anti-rabbit IgG antibody (GTX213110-01) was used to detect the primary antibody.

7 / 8
Anti-Peroxiredoxin 6 antibody [HL3951] used in Western Blot (WB). GTX642201
GTX642201 WB Image

Mouse tissue extract (50 μg) was separated by 12% SDS-PAGE, and the membrane was blotted with Peroxiredoxin 6 antibody [HL3951] (GTX642201) diluted at 1:1000. The HRP-conjugated anti-rabbit IgG antibody (GTX213110-01) was used to detect the primary antibody.

8 / 8
Anti-Peroxiredoxin 6 antibody [HL3951] used in Western Blot (WB). GTX642201
Anti-Peroxiredoxin 6 antibody [HL3951] used in IHC (Paraffin sections) (IHC-P). GTX642201
Anti-Peroxiredoxin 6 antibody [HL3951] used in IHC (Paraffin sections) (IHC-P). GTX642201
Anti-Peroxiredoxin 6 antibody [HL3951] used in IHC (Paraffin sections) (IHC-P). GTX642201
Anti-Peroxiredoxin 6 antibody [HL3951] used in IHC (Paraffin sections) (IHC-P). GTX642201
Anti-Peroxiredoxin 6 antibody [HL3951] used in Western Blot (WB). GTX642201
Anti-Peroxiredoxin 6 antibody [HL3951] used in Western Blot (WB). GTX642201
Anti-Peroxiredoxin 6 antibody [HL3951] used in Western Blot (WB). GTX642201
  • Host
    Rabbit
  • Clonality
    Monoclonal
  • Clone Name
    HL3951
  • Isotype
    IgG
  • Applications
    WB IHC-P
  • Reactivity
    Human, Mouse, Rat, Zebrafish
See all Peroxiredoxin 6 products