Pez antibody [C2C3], C-term

Cat. No. GTX105769
Cat. No.  GTX105769
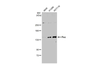
Anti-Pez antibody [C2C3], C-term used in Western Blot (WB). GTX105769
GTX105769 WB Image

Various whole cell extracts (30 μg) were separated by 5% SDS-PAGE, and the membrane was blotted with Pez antibody [C2C3], C-term (GTX105769) diluted at 1:1000. The HRP-conjugated anti-rabbit IgG antibody (GTX213110-01) was used to detect the primary antibody.

1 / 3
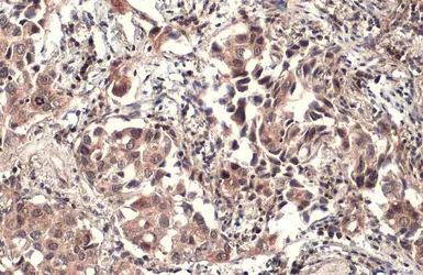
Anti-Pez antibody [C2C3], C-term used in IHC (Paraffin sections) (IHC-P). GTX105769
GTX105769 IHC-P Image

Pez antibody [C2C3], C-term detects Pez protein at cytoplasm by immunohistochemical analysis.
Sample: Paraffin-embedded human lung cancer.
Pez stained by Pez antibody [C2C3], C-term (GTX105769) diluted at 1:500.
Antigen Retrieval: Citrate buffer, pH 6.0, 15 min

2 / 3
Anti-Pez antibody [C2C3], C-term used in IHC (Paraffin sections) (IHC-P). GTX105769
GTX105769 IHC-P Image

Immunohistochemical analysis of paraffin-embedded human lung papillory adenocarcinoma, using Pez(GTX105769) antibody at 1:500 dilution.
Antigen Retrieval: Trilogy™ (EDTA based, pH 8.0) buffer, 15min

3 / 3
Anti-Pez antibody [C2C3], C-term used in Western Blot (WB). GTX105769
Anti-Pez antibody [C2C3], C-term used in IHC (Paraffin sections) (IHC-P). GTX105769
Anti-Pez antibody [C2C3], C-term used in IHC (Paraffin sections) (IHC-P). GTX105769
  • Host
    Rabbit
  • Clonality
    Polyclonal
  • Isotype
    IgG
  • Applications
    WB IHC-P
  • Reactivity
    Human
See all Pez products