Pez antibody [N1N2], N-term

Cat. No. GTX118862
Cat. No.  GTX118862
Anti-Pez antibody [N1N2], N-term used in Western Blot (WB). GTX118862
GTX118862 WB Image

Sample (30 ug of whole cell lysate)
A: 293T
5% SDS PAGE
GTX118862 diluted at 1:1000

1 / 2
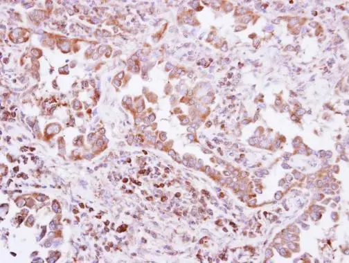
Anti-Pez antibody [N1N2], N-term used in IHC (Paraffin sections) (IHC-P). GTX118862
GTX118862 IHC-P Image

Immunohistochemical analysis of paraffin-embedded human lung cancer, using Pez(GTX118862) antibody at 1:500 dilution.
Antigen Retrieval: Trilogy™ (EDTA based, pH 8.0) buffer, 15min

2 / 2
Anti-Pez antibody [N1N2], N-term used in Western Blot (WB). GTX118862
Anti-Pez antibody [N1N2], N-term used in IHC (Paraffin sections) (IHC-P). GTX118862
  • Host
    Rabbit
  • Clonality
    Polyclonal
  • Isotype
    IgG
  • Applications
    WB IHC-P
  • Reactivity
    Human
See all Pez products