Plasminogen antibody [HL2071]

Cat. No. GTX637979
Cat. No.  GTX637979
Anti-Plasminogen antibody [HL2071] used in IHC (Paraffin sections) (IHC-P). GTX637979
GTX637979 IHC-P Image

Plasminogen antibody [HL2071] detects secreted Plasminogen protein by immunohistochemical analysis.
Sample: Paraffin-embedded dog brain.
Plasminogen stained by Plasminogen antibody [HL2071] (GTX637979) diluted at 1:100.
Antigen Retrieval: Citrate buffer, pH 6.0, 15 min

1 / 7
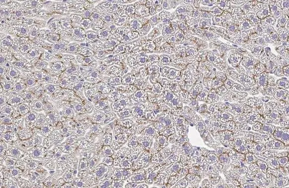
Anti-Plasminogen antibody [HL2071] used in IHC (Paraffin sections) (IHC-P). GTX637979
GTX637979 IHC-P Image

Plasminogen antibody [HL2071] detects secreted Plasminogen protein by immunohistochemical analysis.
Sample: Paraffin-embedded cat liver.
Plasminogen stained by Plasminogen antibody [HL2071] (GTX637979) diluted at 1:100.
Antigen Retrieval: Citrate buffer, pH 6.0, 15 min

2 / 7
Anti-Plasminogen antibody [HL2071] used in Western Blot (WB). GTX637979
GTX637979 WB Image

Whole zebrafish extract (30 μg) was separated by 7.5% SDS-PAGE, and the membrane was blotted with Plasminogen antibody [HL2071] (GTX637979) diluted at 1:1000. The HRP-conjugated anti-rabbit IgG antibody (GTX213110-01) was used to detect the primary antibody, and the signal was developed with Trident ECL plus-Enhanced.

3 / 7
Anti-Plasminogen antibody [HL2071] used in Western Blot (WB). GTX637979
GTX637979 WB Image

Human plasma, mouse plasma and rat plasma (30 μg) were separated by 7.5% SDS-PAGE, and the membrane was blotted with Plasminogen antibody [HL2071] (GTX637979) diluted at 1:1000. The HRP-conjugated anti-rabbit IgG antibody (GTX213110-01) was used to detect the primary antibody.

4 / 7
Anti-Plasminogen antibody [HL2071] used in Immunocytochemistry/ Immunofluorescence (ICC/IF). GTX637979
GTX637979 ICC/IF Image

Plasminogen antibody [HL2071] detects Plasminogen protein at vesicle by immunofluorescent analysis.
Sample: HeLa cells were fixed in 4% paraformaldehyde at RT for 15 min.
Green: Plasminogen stained by Plasminogen antibody [HL2071] (GTX637979) diluted at 1:500.
Red: alpha Tubulin, a cytoskeleton marker, stained by alpha Tubulin antibody [GT114] (GTX628802) diluted at 1:1000.
Blue: Fluoroshield with DAPI (GTX30920).

5 / 7
Anti-Plasminogen antibody [HL2071] used in IHC (Paraffin sections) (IHC-P). GTX637979
GTX637979 IHC-P Image

Plasminogen antibody [HL2071] detects Plasminogen protein at cell membrane by immunohistochemical analysis.
Sample: Paraffin-embedded mouse liver.
Plasminogen stained by Plasminogen antibody [HL2071] (GTX637979) diluted at 1:100.
Antigen Retrieval: Citrate buffer, pH 6.0, 15 min

6 / 7
Anti-Plasminogen antibody [HL2071] used in IHC (Paraffin sections) (IHC-P). GTX637979
GTX637979 IHC-P Image

Plasminogen antibody [HL2071] detects Plasminogen protein at cell membrane and secreted by immunohistochemical analysis.
Sample: Paraffin-embedded rat kidney.
Plasminogen stained by Plasminogen antibody [HL2071] (GTX637979) diluted at 1:100.
Antigen Retrieval: Citrate buffer, pH 6.0, 15 min

7 / 7
Anti-Plasminogen antibody [HL2071] used in IHC (Paraffin sections) (IHC-P). GTX637979
Anti-Plasminogen antibody [HL2071] used in IHC (Paraffin sections) (IHC-P). GTX637979
Anti-Plasminogen antibody [HL2071] used in Western Blot (WB). GTX637979
Anti-Plasminogen antibody [HL2071] used in Western Blot (WB). GTX637979
Anti-Plasminogen antibody [HL2071] used in Immunocytochemistry/ Immunofluorescence (ICC/IF). GTX637979
Anti-Plasminogen antibody [HL2071] used in IHC (Paraffin sections) (IHC-P). GTX637979
Anti-Plasminogen antibody [HL2071] used in IHC (Paraffin sections) (IHC-P). GTX637979
  • Host
    Rabbit
  • Clonality
    Monoclonal
  • Clone Name
    HL2071
  • Isotype
    IgG
  • Applications
    WB ICC/IF IHC-P
  • Reactivity
    Human, Mouse, Rat, Zebrafish, Cat, Dog
See all Plasminogen products