Presenilin 2 antibody

Cat. No. GTX55758
Cat. No.  GTX55758
Anti-Presenilin 2 antibody used in Immunocytochemistry/ Immunofluorescence (ICC/IF). GTX55758
GTX55758 ICC/IF Image

ICC/IF analysis of HeLa cells using GTX55758 Presenilin 2 antibody.
Blue : DAPI
Dilution : 1:100

1 / 4
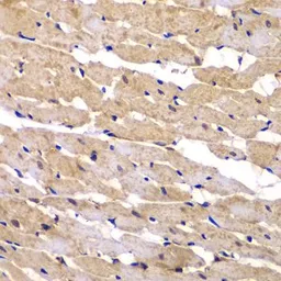
Anti-Presenilin 2 antibody used in IHC (Paraffin sections) (IHC-P). GTX55758
GTX55758 IHC-P Image

IHC-P analysis of rat heart tissue using GTX55758 Presenilin 2 antibody.
Dilution : 1:100

2 / 4
Anti-Presenilin 2 antibody used in Western Blot (WB). GTX55758
GTX55758 WB Image

WB analysis of various sample lysates using GTX55758 Presenilin 2 antibody.
Dilution : 1:1000
Loading : 25μg per lane

3 / 4
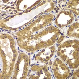
Anti-Presenilin 2 antibody used in IHC (Paraffin sections) (IHC-P). GTX55758
GTX55758 IHC-P Image

IHC-P analysis of human kidney tissue using GTX55758 Presenilin 2 antibody.
Dilution : 1:100

4 / 4
Anti-Presenilin 2 antibody used in Immunocytochemistry/ Immunofluorescence (ICC/IF). GTX55758
Anti-Presenilin 2 antibody used in IHC (Paraffin sections) (IHC-P). GTX55758
Anti-Presenilin 2 antibody used in Western Blot (WB). GTX55758
Anti-Presenilin 2 antibody used in IHC (Paraffin sections) (IHC-P). GTX55758
  • Host
    Rabbit
  • Clonality
    Polyclonal
  • Isotype
    IgG
  • Applications
    WB ICC/IF IHC-P
  • Reactivity
    Human, Mouse, Rat
See all Presenilin 2 products