Profilin 2 antibody

Cat. No. GTX108589
Cat. No.  GTX108589
Anti-Profilin 2 antibody used in Western Blot (WB). GTX108589
GTX108589 WB Image

Sample (50 ug of whole cell lysate)
A: mouse brain
15% SDS PAGE
GTX108589 diluted at 1:1000

1 / 4
Anti-Profilin 2 antibody used in Western Blot (WB). GTX108589
GTX108589 WB Image

Sample(30 ug whole cell lysate)
A: A431(GTX27909)
B: H1299
12% SDS PAGE
GTX108589 diluted at 1:500

2 / 4
Anti-Profilin 2 antibody used in Western Blot (WB). GTX108589
GTX108589 WB Image

Rat tissue extract (50 μg) was separated by 15% SDS-PAGE, and the membrane was blotted with Profilin 2 antibody (GTX108589) diluted at 1:1000.

3 / 4
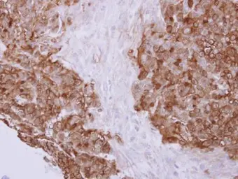
Anti-Profilin 2 antibody used in IHC (Paraffin sections) (IHC-P). GTX108589
GTX108589 IHC-P Image

Profilin 2 antibody detects PFN2 protein at cytoplasm on human colon carcinoma by immunohistochemical analysis.
Sample: Paraffin-embedded colon carcinoma.
Profilin 2 antibody (GTX108589) dilution: 1:500.

Antigen Retrieval: Trilogy™ (EDTA based, pH 8.0) buffer, 15min

4 / 4
Anti-Profilin 2 antibody used in Western Blot (WB). GTX108589
Anti-Profilin 2 antibody used in Western Blot (WB). GTX108589
Anti-Profilin 2 antibody used in Western Blot (WB). GTX108589
Anti-Profilin 2 antibody used in IHC (Paraffin sections) (IHC-P). GTX108589
  • Host
    Rabbit
  • Clonality
    Polyclonal
  • Isotype
    IgG
  • Applications
    WB IHC-P
  • Reactivity
    Human, Mouse, Rat
See all Profilin 2 products