Progesterone Receptor antibody [PR500]

Cat. No. GTX34982
Cat. No.  GTX34982
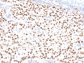
Anti-Progesterone Receptor antibody [PR500] used in IHC (Paraffin sections) (IHC-P). GTX34982
GTX34982 IHC-P Image

IHC-P analysis of human breast carcinoma tissue using GTX34982 Progesterone Receptor antibody [PR500].

1 / 1
Anti-Progesterone Receptor antibody [PR500] used in IHC (Paraffin sections) (IHC-P). GTX34982
  • Host
    Mouse
  • Clonality
    Monoclonal
  • Clone Name
    PR500
  • Isotype
    IgG1
  • Applications
    IHC-P
  • Reactivity
    Human
See all Progesterone Receptor products