Progesterone Receptor antibody [PR501]

Cat. No. GTX34983
Cat. No.  GTX34983
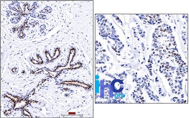
Anti-Progesterone Receptor antibody [PR501] used in IHC (Paraffin sections) (IHC-P). GTX34983
GTX34983 IHC-P Image

IHC-P analysis of normal human breast (left) and invasive ductal carcinoma (right) tissue using GTX34983 Progesterone Receptor antibody [PR501].

1 / 1
Anti-Progesterone Receptor antibody [PR501] used in IHC (Paraffin sections) (IHC-P). GTX34983
  • Host
    Mouse
  • Clonality
    Monoclonal
  • Clone Name
    PR501
  • Isotype
    IgG1
  • Applications
    WB IHC-P
  • Reactivity
    Human
See all Progesterone Receptor products