Progesterone Receptor antibody [SPM566]

Cat. No. GTX34981
Cat. No.  GTX34981
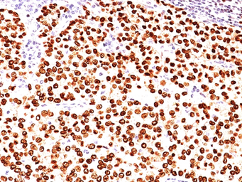
Anti-Progesterone Receptor antibody [SPM566] used in IHC (Paraffin sections) (IHC-P). GTX34981
GTX34981 IHC-P Image

IHC-P analysis of human breast carcinoma tissue using GTX34981 Progesterone Receptor antibody [SPM566].

1 / 1
Anti-Progesterone Receptor antibody [SPM566] used in IHC (Paraffin sections) (IHC-P). GTX34981
  • Host
    Mouse
  • Clonality
    Monoclonal
  • Clone Name
    SPM566
  • Isotype
    IgG1
  • Applications
    WB IHC-P
  • Reactivity
    Human
See all Progesterone Receptor products