Progesterone Receptor antibody [Z15]

Cat. No. GTX34120
Cat. No.  GTX34120
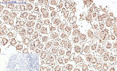
Anti-Progesterone Receptor antibody [Z15] used in IHC (Paraffin sections) (IHC-P). GTX34120
GTX34120 IHC-P Image

IHC-P analysis of human lung tissue using GTX34120 Progesterone Receptor antibody [Z15]. Negative control (the lower left coner) was secondary antibody only.
Antigen retrieval : Sodium citrate pH6.0 was used for antibody retrieval (>98ºC, 20min)
Dilution : 1:200

1 / 19
Anti-Progesterone Receptor antibody [Z15] used in IHC (Paraffin sections) (IHC-P). GTX34120
GTX34120 IHC-P Image

IHC-P analysis of human appendix tissue using GTX34120 Progesterone Receptor antibody [Z15]. Negative control (the lower left coner) was secondary antibody only.
Antigen retrieval : Sodium citrate pH6.0 was used for antibody retrieval (>98ºC, 20min)
Dilution : 1:200

2 / 19
Anti-Progesterone Receptor antibody [Z15] used in IHC (Paraffin sections) (IHC-P). GTX34120
GTX34120 IHC-P Image

IHC-P analysis of human colon tissue using GTX34120 Progesterone Receptor antibody [Z15]. Negative control (the lower left coner) was secondary antibody only.
Antigen retrieval : Sodium citrate pH6.0 was used for antibody retrieval (>98ºC, 20min)
Dilution : 1:200

3 / 19
Anti-Progesterone Receptor antibody [Z15] used in IHC (Paraffin sections) (IHC-P). GTX34120
GTX34120 IHC-P Image

IHC-P analysis of human stomach tissue using GTX34120 Progesterone Receptor antibody [Z15]. Negative control (the lower left coner) was secondary antibody only.
Antigen retrieval : Sodium citrate pH6.0 was used for antibody retrieval (>98ºC, 20min)
Dilution : 1:200

4 / 19
Anti-Progesterone Receptor antibody [Z15] used in IHC (Paraffin sections) (IHC-P). GTX34120
GTX34120 IHC-P Image

IHC-P analysis of human uterus tissue using GTX34120 Progesterone Receptor antibody [Z15]. Negative control (the lower left coner) was secondary antibody only.
Antigen retrieval : Sodium citrate pH6.0 was used for antibody retrieval (>98ºC, 20min)
Dilution : 1:200

5 / 19
Anti-Progesterone Receptor antibody [Z15] used in IHC (Paraffin sections) (IHC-P). GTX34120
GTX34120 IHC-P Image

IHC-P analysis of mouse colon tissue using GTX34120 Progesterone Receptor antibody [Z15]. Negative control (the lower left coner) was secondary antibody only.
Antigen retrieval : Sodium citrate pH6.0 was used for antibody retrieval (>98ºC, 20min)
Dilution : 1:200

6 / 19
Anti-Progesterone Receptor antibody [Z15] used in IHC (Paraffin sections) (IHC-P). GTX34120
GTX34120 IHC-P Image

IHC-P analysis of mouse liver tissue using GTX34120 Progesterone Receptor antibody [Z15]. Negative control (the lower left coner) was secondary antibody only.
Antigen retrieval : Sodium citrate pH6.0 was used for antibody retrieval (>98ºC, 20min)
Dilution : 1:200

7 / 19
Anti-Progesterone Receptor antibody [Z15] used in IHC (Paraffin sections) (IHC-P). GTX34120
GTX34120 IHC-P Image

IHC-P analysis of human stomach cancer tissue using GTX34120 Progesterone Receptor antibody [Z15]. Negative control (the lower left coner) was secondary antibody only.
Antigen retrieval : Sodium citrate pH6.0 was used for antibody retrieval (>98ºC, 20min)
Dilution : 1:200

8 / 19
Anti-Progesterone Receptor antibody [Z15] used in IHC (Paraffin sections) (IHC-P). GTX34120
GTX34120 IHC-P Image

IHC-P analysis of human liver cancer tissue using GTX34120 Progesterone Receptor antibody [Z15]. Negative control (the lower left coner) was secondary antibody only.
Antigen retrieval : Sodium citrate pH6.0 was used for antibody retrieval (>98ºC, 20min)
Dilution : 1:200

9 / 19
Anti-Progesterone Receptor antibody [Z15] used in IHC (Paraffin sections) (IHC-P). GTX34120
GTX34120 IHC-P Image

IHC-P analysis of rat spinal cord tissue using GTX34120 Progesterone Receptor antibody [Z15]. Negative control (the lower left coner) was secondary antibody only.
Antigen retrieval : Sodium citrate pH6.0 was used for antibody retrieval (>98ºC, 20min)
Dilution : 1:200

10 / 19
Anti-Progesterone Receptor antibody [Z15] used in IHC (Paraffin sections) (IHC-P). GTX34120
GTX34120 IHC-P Image

IHC-P analysis of mouse kidney tissue using GTX34120 Progesterone Receptor antibody [Z15]. Negative control (the lower left coner) was secondary antibody only.
Antigen retrieval : Sodium citrate pH6.0 was used for antibody retrieval (>98ºC, 20min)
Dilution : 1:200

11 / 19
Anti-Progesterone Receptor antibody [Z15] used in IHC (Paraffin sections) (IHC-P). GTX34120
GTX34120 IHC-P Image

IHC-P analysis of human breast carcinoma tissue using GTX34120 Progesterone Receptor antibody [Z15].

12 / 19
Anti-Progesterone Receptor antibody [Z15] used in IHC (Paraffin sections) (IHC-P). GTX34120
GTX34120 IHC-P Image

IHC-P analysis of human uterus cancer tissue using GTX34120 Progesterone Receptor antibody [Z15]. Negative control (the lower left coner) was secondary antibody only.
Antigen retrieval : Sodium citrate pH6.0 was used for antibody retrieval (>98ºC, 20min)
Dilution : 1:200

13 / 19
Anti-Progesterone Receptor antibody [Z15] used in IHC (Paraffin sections) (IHC-P). GTX34120
GTX34120 IHC-P Image

IHC-P analysis of mouse brain tissue using GTX34120 Progesterone Receptor antibody [Z15]. Negative control (the lower left coner) was secondary antibody only.
Antigen retrieval : Sodium citrate pH6.0 was used for antibody retrieval (>98ºC, 20min)
Dilution : 1:200

14 / 19
Anti-Progesterone Receptor antibody [Z15] used in IHC (Paraffin sections) (IHC-P). GTX34120
GTX34120 IHC-P Image

IHC-P analysis of mouse testis tissue using GTX34120 Progesterone Receptor antibody [Z15]. Negative control (the lower left coner) was secondary antibody only.
Antigen retrieval : Sodium citrate pH6.0 was used for antibody retrieval (>98ºC, 20min)
Dilution : 1:200

15 / 19
Anti-Progesterone Receptor antibody [Z15] used in IHC (Paraffin sections) (IHC-P). GTX34120
GTX34120 IHC-P Image

IHC-P analysis of rat lung tissue using GTX34120 Progesterone Receptor antibody [Z15]. Negative control (the lower left coner) was secondary antibody only.
Antigen retrieval : Sodium citrate pH6.0 was used for antibody retrieval (>98ºC, 20min)
Dilution : 1:200

16 / 19
Anti-Progesterone Receptor antibody [Z15] used in IHC (Paraffin sections) (IHC-P). GTX34120
GTX34120 IHC-P Image

IHC-P analysis of rat brain tissue using GTX34120 Progesterone Receptor antibody [Z15]. Negative control (the lower left coner) was secondary antibody only.
Antigen retrieval : Sodium citrate pH6.0 was used for antibody retrieval (>98ºC, 20min)
Dilution : 1:200

17 / 19
Anti-Progesterone Receptor antibody [Z15] used in IHC (Paraffin sections) (IHC-P). GTX34120
GTX34120 IHC-P Image

IHC-P analysis of rat kidney tissue using GTX34120 Progesterone Receptor antibody [Z15]. Negative control (the lower left coner) was secondary antibody only.
Antigen retrieval : Sodium citrate pH6.0 was used for antibody retrieval (>98ºC, 20min)
Dilution : 1:200

18 / 19
Anti-Progesterone Receptor antibody [Z15] used in IHC (Paraffin sections) (IHC-P). GTX34120
GTX34120 IHC-P Image

IHC-P analysis of rat testis tissue using GTX34120 Progesterone Receptor antibody [Z15]. Negative control (the lower left coner) was secondary antibody only.
Antigen retrieval : Sodium citrate pH6.0 was used for antibody retrieval (>98ºC, 20min)
Dilution : 1:200

19 / 19
Anti-Progesterone Receptor antibody [Z15] used in IHC (Paraffin sections) (IHC-P). GTX34120
Anti-Progesterone Receptor antibody [Z15] used in IHC (Paraffin sections) (IHC-P). GTX34120
Anti-Progesterone Receptor antibody [Z15] used in IHC (Paraffin sections) (IHC-P). GTX34120
Anti-Progesterone Receptor antibody [Z15] used in IHC (Paraffin sections) (IHC-P). GTX34120
Anti-Progesterone Receptor antibody [Z15] used in IHC (Paraffin sections) (IHC-P). GTX34120
Anti-Progesterone Receptor antibody [Z15] used in IHC (Paraffin sections) (IHC-P). GTX34120
Anti-Progesterone Receptor antibody [Z15] used in IHC (Paraffin sections) (IHC-P). GTX34120
Anti-Progesterone Receptor antibody [Z15] used in IHC (Paraffin sections) (IHC-P). GTX34120
Anti-Progesterone Receptor antibody [Z15] used in IHC (Paraffin sections) (IHC-P). GTX34120
Anti-Progesterone Receptor antibody [Z15] used in IHC (Paraffin sections) (IHC-P). GTX34120
Anti-Progesterone Receptor antibody [Z15] used in IHC (Paraffin sections) (IHC-P). GTX34120
Anti-Progesterone Receptor antibody [Z15] used in IHC (Paraffin sections) (IHC-P). GTX34120
Anti-Progesterone Receptor antibody [Z15] used in IHC (Paraffin sections) (IHC-P). GTX34120
Anti-Progesterone Receptor antibody [Z15] used in IHC (Paraffin sections) (IHC-P). GTX34120
Anti-Progesterone Receptor antibody [Z15] used in IHC (Paraffin sections) (IHC-P). GTX34120
Anti-Progesterone Receptor antibody [Z15] used in IHC (Paraffin sections) (IHC-P). GTX34120
Anti-Progesterone Receptor antibody [Z15] used in IHC (Paraffin sections) (IHC-P). GTX34120
Anti-Progesterone Receptor antibody [Z15] used in IHC (Paraffin sections) (IHC-P). GTX34120
Anti-Progesterone Receptor antibody [Z15] used in IHC (Paraffin sections) (IHC-P). GTX34120
  • Host
    Mouse
  • Clonality
    Monoclonal
  • Clone Name
    Z15
  • Isotype
    IgG1
  • Applications
    IHC-P
  • Reactivity
    Human, Mouse, Rat
See all Progesterone Receptor products