Progesterone Receptor antibody (ready-to-use)

Cat. No. GTX15510
Cat. No.  GTX15510
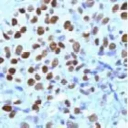
Anti-Progesterone Receptor antibody (ready-to-use) used in IHC (Paraffin sections) (IHC-P). GTX15510
GTX15510 IHC-P Image

Human Breast Carcinoma stained with anti-Progesterone Receptor (PR) antibody (GTX15509)

1 / 2
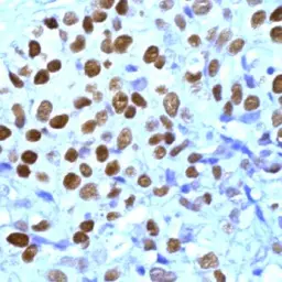
Anti-Progesterone Receptor antibody (ready-to-use) used in IHC (Paraffin sections) (IHC-P). GTX15510
GTX15510 IHC-P Image

GTX15510 staining Progesterone Receptor in breast carcinoma by Immunohistochemistry (FFPE-sections).

2 / 2
Anti-Progesterone Receptor antibody (ready-to-use) used in IHC (Paraffin sections) (IHC-P). GTX15510
Anti-Progesterone Receptor antibody (ready-to-use) used in IHC (Paraffin sections) (IHC-P). GTX15510
  • Host
    Rabbit
  • Clonality
    Polyclonal
  • Isotype
    IgG
  • Applications
    IHC-P
  • Reactivity
    Human
See all Progesterone Receptor products