Prolactin Receptor antibody [PRLR742]

Cat. No. GTX34986
Cat. No.  GTX34986
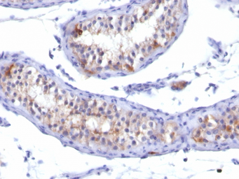
Anti-Prolactin Receptor antibody [PRLR742] used in IHC (Paraffin sections) (IHC-P). GTX34986
GTX34986 IHC-P Image

IHC-P analysis of human testicular carcinoma tissue using GTX34986 Prolactin Receptor antibody [PRLR742].

1 / 1
Anti-Prolactin Receptor antibody [PRLR742] used in IHC (Paraffin sections) (IHC-P). GTX34986
  • Host
    Mouse
  • Clonality
    Monoclonal
  • Clone Name
    PRLR742
  • Isotype
    IgG1
  • Applications
    IHC-P
  • Reactivity
    Human
See all Prolactin Receptor products