Protein C antibody

Cat. No. GTX105844
Cat. No.  GTX105844
Anti-Protein C antibody used in Immunocytochemistry/ Immunofluorescence (ICC/IF). GTX105844
GTX105844 ICC/IF Image

Immunofluorescence analysis of methanol-fixed HeLa, using Protein C(GTX105844) antibody at 1:500 dilution.

1 / 3
Anti-Protein C antibody used in Western Blot (WB). GTX105844
GTX105844 WB Image

HepG2 whole cell extract and conditioned medium (30 μg) were separated by 10% SDS-PAGE, and the membrane was blotted with Protein C antibody (GTX105844) diluted at 1:1000. The HRP-conjugated anti-rabbit IgG antibody (GTX213110-01) was used to detect the primary antibody.

2 / 3
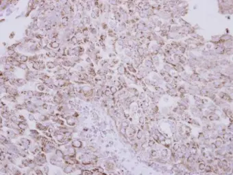
Anti-Protein C antibody used in IHC (Paraffin sections) (IHC-P). GTX105844
GTX105844 IHC-P Image

Immunohistochemical analysis of paraffin-embedded human breast cancer, using Protein C(GTX105844) antibody at 1:250 dilution.
Antigen Retrieval: Trilogy™ (EDTA based, pH 8.0) buffer, 15min

3 / 3
Anti-Protein C antibody used in Immunocytochemistry/ Immunofluorescence (ICC/IF). GTX105844
Anti-Protein C antibody used in Western Blot (WB). GTX105844
Anti-Protein C antibody used in IHC (Paraffin sections) (IHC-P). GTX105844
  • Host
    Rabbit
  • Clonality
    Polyclonal
  • Isotype
    IgG
  • Applications
    WB ICC/IF IHC-P
  • Reactivity
    Human
See all Protein C products