Pumilio 2 antibody [N1N2], N-term

Cat. No. GTX107995
Cat. No.  GTX107995
Anti-Pumilio 2 antibody [N1N2], N-term used in Western Blot (WB). GTX107995
GTX107995 WB Image

Sample (20 ug of whole cell lysate)
A: human ESC
5% SDS PAGE
GTX107995 diluted at 1:5000

1 / 3
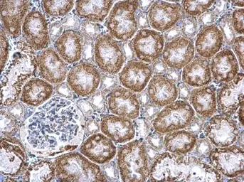
Anti-Pumilio 2 antibody [N1N2], N-term used in IHC (Paraffin sections) (IHC-P). GTX107995
GTX107995 IHC-P Image

Pumilio 2 antibody [N1N2], N-term detects Pumilio 2 protein at cytoplasm on mouse kidney by immunohistochemical analysis.
Sample: Paraffin-embedded mouse kidney.
Pumilio 2 antibody [N1N2], N-term (GTX107995) diluted at 1:500.

Antigen Retrieval: Trilogy™ (EDTA based, pH 8.0) buffer, 15min

2 / 3
Anti-Pumilio 2 antibody [N1N2], N-term used in Western Blot (WB). GTX107995
GTX107995 WB Image

Various whole cell extracts (30 μg) were separated by 7.5% SDS-PAGE, and the membrane was blotted with Pumilio 2 antibody [N1N2], N-term (GTX107995) diluted at 1:500.

3 / 3
Anti-Pumilio 2 antibody [N1N2], N-term used in Western Blot (WB). GTX107995
Anti-Pumilio 2 antibody [N1N2], N-term used in IHC (Paraffin sections) (IHC-P). GTX107995
Anti-Pumilio 2 antibody [N1N2], N-term used in Western Blot (WB). GTX107995
  • Host
    Rabbit
  • Clonality
    Polyclonal
  • Isotype
    IgG
  • Applications
    WB IHC-P
  • Reactivity
    Human, Mouse
See all Pumilio 2 products