Purple Hematoxylin

Cat. No. GTX03613
Cat. No.  GTX03613
Purple Hematoxylin. GTX03613
GTX03613 IHC-P Image

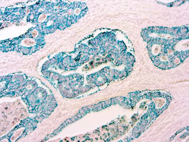
IHC-P analysis of human colon tissue using GTX73737 Epithelial antigen antibody [Ber-EP4] with GTX03613 Purple Hematoxylin.

1 / 1
Purple Hematoxylin. GTX03613
  • Applications
    IHC-P
Summary
GTX03613 Purple Hematoxylin is intended for use in the histologic demonstration of nuclear staining. This staining technique is used to make the critical distinction between a normal nucleus and an abnormal one.
See all Purple Hematoxylin products