QKI antibody [GT228]

Cat. No. GTX633922
Cat. No.  GTX633922
Anti-QKI antibody [GT228] used in Western Blot (WB). GTX633922
GTX633922 WB Image

Non-transfected (–) and transfected (+) 293T whole cell extracts (30 μg) were separated by 10% SDS-PAGE, and the membrane was blotted with QKI antibody [GT228] (GTX633922) diluted at 1:5000. The HRP-conjugated anti-mouset IgG antibody (GTX213111-01) was used to detect the primary antibody.

1 / 5
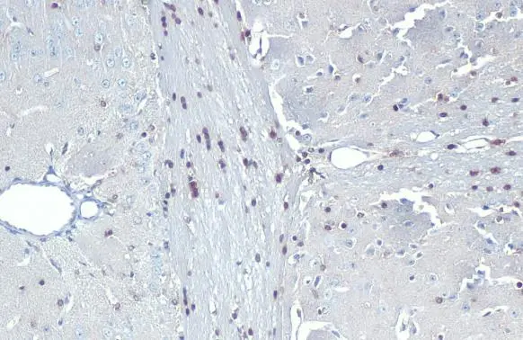
Anti-QKI antibody [GT228] used in IHC (Paraffin sections) (IHC-P). GTX633922
GTX633922 IHC-P Image

QKI antibody [GT228] detects QKI protein at nucleus in rat brain by immunohistochemical analysis.
Sample: Paraffin-embedded rat brain.
QKI antibody [GT228] (GTX633922) diluted at 1:200.

Antigen Retrieval: Citrate buffer, pH 6.0, 15 min

2 / 5
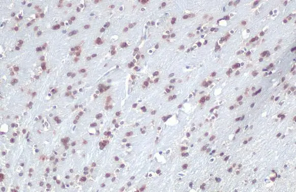
Anti-QKI antibody [GT228] used in IHC (Paraffin sections) (IHC-P). GTX633922
GTX633922 IHC-P Image

QKI antibody [GT228] detects QKI protein at nucleus in mouse brain by immunohistochemical analysis.
Sample: Paraffin-embedded mouse brain.
QKI antibody [GT228] (GTX633922) diluted at 1:200.

Antigen Retrieval: Citrate buffer, pH 6.0, 15 min

3 / 5
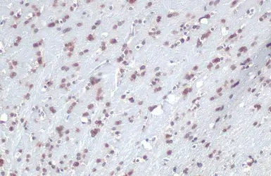
Anti-QKI antibody [GT228] used in IHC (Paraffin sections) (IHC-P). GTX633922
GTX633922 IHC-P Image

QKI antibody [GT228] detects QKI protein at nucleus by immunohistochemical analysis.
Sample: Paraffin-embedded mouse brain.
QKI stained by QKI antibody [GT228] (GTX633922) diluted at 1:200.
Antigen Retrieval: Citrate buffer, pH 6.0, 15 min

4 / 5
Anti-QKI antibody [GT228] used in IHC (Paraffin sections) (IHC-P). GTX633922
GTX633922 IHC-P Image

QKI antibody [GT228] detects QKI protein at nucleus by immunohistochemical analysis.
Sample: Paraffin-embedded rat brain.
QKI stained by QKI antibody [GT228] (GTX633922) diluted at 1:200.
Antigen Retrieval: Citrate buffer, pH 6.0, 15 min

5 / 5
Anti-QKI antibody [GT228] used in Western Blot (WB). GTX633922
Anti-QKI antibody [GT228] used in IHC (Paraffin sections) (IHC-P). GTX633922
Anti-QKI antibody [GT228] used in IHC (Paraffin sections) (IHC-P). GTX633922
Anti-QKI antibody [GT228] used in IHC (Paraffin sections) (IHC-P). GTX633922
Anti-QKI antibody [GT228] used in IHC (Paraffin sections) (IHC-P). GTX633922
  • Host
    Mouse
  • Clonality
    Monoclonal
  • Clone Name
    GT228
  • Isotype
    IgG2b
  • Applications
    WB IHC-P
  • Reactivity
    Human, Mouse, Rat
See all QKI products